A 71-year-old man is brought to the Emergency Department complaining of 2 hours of severe, tearing chest pain that radiates to his neck and back. His past medical history includes longstanding hypertension and diabetes, for which he takes lisinopril, glipizide, and amlodipine. On examination, he is anxious, tachycardic, and his blood pressure is 176/88 mmHg in the right arm and 148/70 mmHg in the left arm. His lung examination is normal.
What other finding would you expect in this patient?
Early diastolic decrescendo murmur at the right sternal border. An early diastolic decrescendo murmur is indicative of aortic regurgitation, which may be present in the case of an aortic dissection involving the aortic arch. This diagnosis is suggested by the tearing chest pain, history of hypertension, and mismatched blood pressure readings between his arms. (A) Jugular venous distention is indicative of heart failure, and aortic dissections can cause heart failure; however, it would cause left heart failure and there would be rales on lung examination. (B) Myocardial infarctions are a consequence of ascending aortic dissections that involve a coronary artery; however, the ST elevations would be in the territory of a coronary artery (and not diffuse as is seen in acute pericarditis). (C) Acute pancreatitis would not present with a blood pressure difference between the left and right arms. (E) There is no evidence of heart failure at this time, since the patient is maintaining an elevated blood pressure and has a normal lung examination. Electrical alternans would indicate a significant pericardial effusion, which can happen with aortic dissections. However, a fluid collection large enough to cause electrical alternans would impair cardiac output and lead to cardiogenic shock, which this patient does not have.
A 29-year-old man is brought to the Emergency Department after suffering multiple stab wounds to his abdomen. He was found on the street actively bleeding. His blood pressure upon arrival was 82/50 mmHg. He received 4 L of IV fluids and 4 units of packed red blood cells. He is sent to the operating room and is then transferred to the intensive care unit. His current vitals show a blood pressure of 110/76 mmHg and a heart rate of 80 beats per minute. A further history is obtained, and he has no medical problems and takes no medications. His laboratory values 24 hours after initial presentation are shown below.
If a urinalysis is performed, which of the following would most likely be seen?
Muddy brown casts. This patient suffered from hypovolemic shock due to hemorrhage. As a result of hypoperfusion to his kidneys, he developed acute tubular necrosis (ATN), which is the most common form of acute kidney injury (AKI) in hospitalized patients. Muddy brown casts on urinalysis is a sensitive finding for ATN. (A) RBC casts would indicate glomerulonephritis. (B) WBC casts are typically seen in acute interstitial nephritis, pyelonephritis, and glomerulonephritis. (C) Waxy casts are seen in advanced chronic kidney disease. (E) Eosinophils are commonly seen in acute interstitial nephritis or with cholesterol emboli causing acute renal failure.
A 25-year-old woman is evaluated for daily nosebleeds for the last year. The nosebleeds often begin in the morning upon awakening and are easily controlled. She states that she also had daily nosebleeds as a child. She denies any recent illness, fever, chills, or weight loss. She takes no medications. Her mother and sister also have chronic nosebleeds. Her laboratory results are shown below.
The patient is given the first-line treatment for her disease.
What is this medication’s composition and/or mechanism of action?
Release of von Willebrand factor from endothelial cells. This patient likely has von Willebrand disease (vWD). Desmopressin is the first-line treatment of vWD, and works by stimulating the release of vWF from endothelial cells via the V2 receptor. (A) Cryoprecipitate contains factor VIII and fibrinogen with small amounts of vWF and factor XIII. Although it is possible to treat vWD or Hemophilia A with cryoprecipitate, it is typically reserved for cases refractory to desmopressin. (B, C) Fresh frozen plasma is not typically used for vWD, and warfarin would only exacerbate this patient’s coagulopathy.
A 65-year-old man with a history of diet-controlled diabetes mellitus, hypertension, and hyperlipidemia presents to the Emergency Department with chest pain and is admitted for a STEMI. His only medication is lisinopril. His metabolic panel on admission is as follows.
He undergoes percutaneous coronary intervention with placement of a stent. About 36 hours later, he complains of decreased urination. His vitals show a temperature of 37°C, a blood pressure of 120/80 mmHg, and a pulse of 75/min. His cardiac, lung, and skin examinations are normal. Mucous membranes are moist. More laboratory values are sent, which show a blood urea nitrogen (BUN) of 30 mg/dL and a creatinine of 1.7 mg/dL. A renal ultrasound shows no hydronephrosis.
Which of the following urinalysis results are most consistent with this patient’s diagnosis? (Note: SG is specific gravity, Neg is negative, Pos is positive, W is white blood cell, R is red blood cell.)
Specific gravity 1.010, trace protein, negative glucose, negative ketones, negative nitrites, 4 WBCs, 1 RBC, muddy brown casts. This patient has AKI as evidenced by his abrupt increase in serum BUN and creatinine values. ATN is the most common form of intrarenal disease that causes AKI in hospitalized patients and is the likely etiology in this patient. Contrast agents used in coronary angiography are known nephrotoxins, which typically presents within 24 to 48 hours after exposure and is the likely etiology in this patient. Cholesterol crystal embolization typically presents after 48 hours and is thus less likely but may also cause ATN. (A) This is the urinalysis of a patient with dehydration. Although profound hypotension can progress to ATN, this patient is euvolemic by vital signs and examination. (B) This is a normal urinalysis. (C) This is consistent with a urinary tract infection (UTI). (D) This is a possible urinalysis in a patient with diabetes. (F) This is most consistent with acute glomerulonephritis given the RBC casts and dysmorphic RBCs. (G) Sterile pyuria may be present in acute interstitial nephritis.
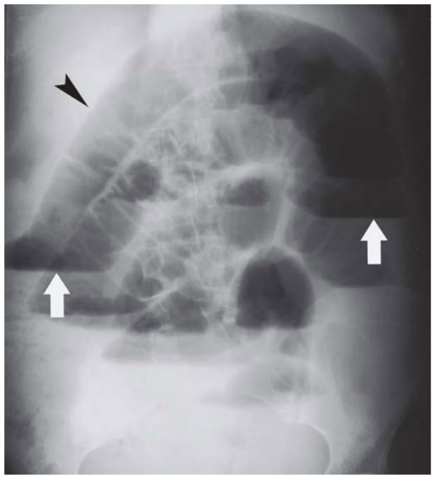
A 66-year-old woman with a history of multiple abdominal surgeries presents with nausea, vomiting, and abdominal pain. Abdominal x-ray is shown in Figure below.
Which of the following is the likely etiology of this patient’s disease?
Adhesion formation. This patient is presenting with a small bowel obstruction, which is indicated by the air–fluid levels on x-ray. The most common cause of small bowel obstruction in patients with a history of abdominal surgery is adhesion formation. (A, B, D) These other choices are less common causes of small bowel obstruction.