A 32-year-old man with known bicuspid aortic valve is referred to you for management of aortic insufficiency (AI). He is completely asymptomatic and jogs 3 miles a day as well as doing other aerobic exercise for 30 minutes daily. He has a grade III/VI systolic and diastolic murmur at his left sternal border, a collapsing pulse on examination, and his BP 170/70 mmHg. An echocardiogram reveals a mildly dilated LV (end-diastolic dimension of 6.0 cm) with an ejection fraction of 65%. There is prolapse of the conjoined aortic leaflet with 3 to 4+ insufficiency.
The patient undergoes a gated computed tomography angiography of the thorax (Fig. below).
What would you recommend?
AVR with tricuspid valve repair if feasible. The mitral valve appears morphologically normal. After relief of the outflow tract obstruction, the MR will likely improve; therefore, mitral valve repair is not indicated. Tricuspid valve repair for moderate TR at the time of left-sided valve surgery is reasonable in the context of annular dilation and elevated PA pressures. This is a class IIb indication from the ACC/AHA guidelines but receives a class IIa recommendation from the European Society of Cardiology (2012). Tricuspid valve repair is favored over replacement.
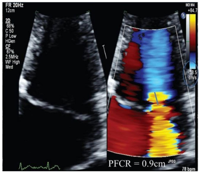
A 46-year-old woman with chronic obstructive pulmonary disease is referred by her pulmonologist for evaluation of a murmur and concern that her symptoms of shortness of breath with moderate exertion may be related to severe MR diagnosed on an outside echocardiogram. On examination, her body mass index is 19 kg/m2 , BP is 130/75 mmHg, and her heart rate is 75 bpm and regular. Her apex beat is nondisplaced. On auscultation, S1 and S2 are normal; there is a midsystolic click with a grade IV/VI late systolic murmur heard best at the apex. An echocardiogram is performed (Fig. below).
Assuming an aliasing velocity of 40 cm/s and an MR Vmax of 5 m/s, based on the PFCR seen here, what is the estimated effective regurgitant orifice area (EROA)?
0.4 cm2 . The EROA based on the assumptions above is 0.4 cm2 consistent with severe MR. The EROA is calculated using the abbreviated proximal isovelocity surface area (PISA) method as r 2 /2 (r = radius of the PFCR). In this case, the radius is 0.9 cm; therefore, the EROA can be estimated as 0.4 cm2.
A continuous-wave signal is provided through the mitral valve (Fig. below)
Based on the data provided how would you classify this MR?
2+, moderate. Using the complete PISA method and calculating the regurgitant volume, the MR is determined to be only moderate in severity which is consistent with the brief duration of MR heard on physical examination. The complete method for calculating the EROA is (2πr2 × AV)/Vmax (AV: aliasing velocity; Vmax : maximum velocity across the mitral valve); therefore, in this case the EROA = (2π(0.9)2 × 38.5)/600 = 0.33 cm2. However, as we see from the continuous-wave Doppler signal, the MR only occurs in late systole consistent with mitral valve prolapse. The regurgitant volume is equal to EROA × VTIMR (VTIMR = velocity time integral of the mitral regurgitation), which in this case is = 0.33 × 100 = 33 mL consistent with 2+ MR. If we used the EROA from the abbreviated PISA method (0.4 cm2), the regurgitant volume is 40 mL, which is still consistent with moderate MR.
A 45-year-old man with rheumatic mitral stenosis presents for further evaluation. In the past 2 to 3 years, he has noted progressive dyspnea with less than moderate activity. He was started on a β-blocker 1 year ago, but remains symptomatic. Echocardiogram reveals a mean mitral gradient of 4 mmHg with a valve area of 1.6 cm2. As there was a discrepancy between the degree of symptoms and resting hemodynamics you proceed to a stress echocardiogram that revealed a post stress PA pressure of 70 mmHg and a mean transmitral gradient of 17 mmHg. You decide to send this patient for percutaneous intervention.
What is the most appropriate test to order at the time of or prior to the valvuloplasty procedure?
Transesophageal echocardiogram. Left atrial and appendage thrombus should be excluded prior to proceeding with percutaneous valvuloplasty and is recommended by ACC/AHA guidelines to be performed prior to the procedure. Transthoracic echocardiography does not have sufficient sensitivity for this purpose. Documentation of atrial fibrillation by ambulatory monitoring may make the likelihood of finding a thrombus higher, but the transesophageal echocardiogram should be performed regardless. Routine surveillance for aortic calcification has no role in this setting. A nuclear perfusion study would not be necessary here (angiography can be performed if needed at the time of the procedure).
A 65-year-old man is referred to you for evaluation of a heart murmur. He denies any symptoms at this time. On physical examination, he is in no acute distress. BP is 135/75 mmHg; pulse is 82 bpm and regular. Carotid upstrokes are diminished. The PMI is sustained and displaced. A2 is soft. A late-peaking systolic murmur is heard at the base. You order an echocardiogram. This reveals LV hypertrophy with moderate global impairment of LV function, calculated ejection fraction of 35%. There is severe calcific AS, with peak/mean gradients of 75/45 mmHg. Aortic valve area is 0.5 cm2.
What is the role of AVR in this setting?
It is absolutely indicated. Given LV dysfunction (EF < 50%), this is a class I indication for surgery. There is no question as to the severity of the AS given the gradients and the aortic valve area; thus dobutamine echocardiography is not of value here.