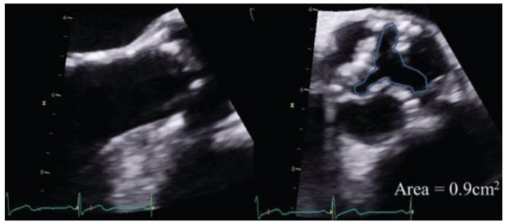
A 76-year-old woman is referred to your clinic with recent onset of exertional chest pain. She has a long-standing history of hypertension and atrial fibrillation. On examination, her body surface area is 2.0 m2 , BP is 150/100 mmHg, and heart rate is 80 to 90 bpm and irregular. The carotid upstroke is delayed and diminished. The apex beat is nondisplaced but sustained. S1 is normal, and S2 is soft and paradoxically split. There is a grade II/VI ejection systolic murmur heard best at the right upper sternal border that radiates to the carotids. An echocardiogram reports normal ejection fraction with a stroke volume of 55 mL. The peak and mean gradients across the aortic valve are 44/28 mmHg. The dimensionless index is 0.21 and the calculated aortic valve area is 0.83 cm2 . You review the echocardiogram (Fig. below)
and confirm the accuracy of the left ventricular outflow tract (LVOT) diameter and are satisfied that multiple windows were used to obtain the gradients.
Which of the following statements is true?
The rate of mortality, for a patient with these findings, is higher compared with patients with severe AS and high gradients across the aortic valve but aortic valve surgery has resulted in better outcomes in these patients. This woman has paradoxical low-gradient, severe AS with preserved ejection fraction. Her clinical history, examination, and 2D imaging of the aortic valve are consistent with severe AS. She has a low indexed stroke volume (<35 mL/m2 ), resulting in low gradients across the AV but the dimensionless index and AVA both are consistent with severe AS. When there is discordant echocardiographic data the accuracy of measurements should always be looked at again; however, in this case, the low gradients are consistent with low-stroke volume. There are currently no guidelines from the ACC or AHA on how to manage these patients; however, the recent 2012 European Society of Cardiology guidelines for valvular heart disease provide a class IIa recommendation for AVR in symptomatic patients with paradoxical lowgradient, severe AS with preserved ejection fraction. A number of studies have confirmed that the rate of mortality is higher in this cohort when compared with patients with severe AS and high gradients but surgery on the aortic valve is associated with significantly better outcomes.
A 75-year-old man is referred to you for evaluation of aortic regurgitation. He has no symptoms at this time. His past medical history is significant only for hypertension. On physical examination, he is in no acute distress. BP is 170/60 mmHg. Arterial pulses are brisk. A bisferiens pulse is noted in the brachial artery. The apical impulse is displaced and hyperdynamic. S1 is not loud, and no opening snap is heard. A high-frequency holodiastolic murmur is heard, loudest along the right sternal border. A late diastolic apical rumble is heard as well.
You order an echocardiogram. Which of the following are you most concerned about?
Aortic root dimension. The patient clinically has severe AI. The murmur is loudest at the right sternal border, suggesting aortic root dilation as a potential cause of his AI. The presence of root dilation (≤5.5 cm) may lead to earlier surgery, hence is vital to know. The diastolic rumble is most likely an Austin Flint murmur and not concomitant mitral stenosis (no opening snap, S1 not loud).
The above patient returns for follow-up 6 months later. He now reports symptoms of marked exertional dyspnea. An echocardiogram is read as 2+ central aortic regurgitation, with an LV end-diastolic dimension of 6.9 cm and an ejection fraction of 50%.
What do you do next?
Cardiac catheterization with aortography. Clinically, the patient has severe aortic regurgitation. He is symptomatic. Consistent with this, the echocardiogram reveals a dilated LV with low normal systolic function. The degree of aortic regurgitation must be underestimated by this study. When there is such discrepancy, proceed with aortography to confirm aortic regurgitation severity and to assess coronaries prior to surgical referral. As he is symptomatic, continued observation and/or medical therapy is not the preferred treatment approach. β-Blockers, by prolonging the diastolic filling period, could actually increase regurgitant volume.
A 56-year-old man presents to the emergency room with the sudden onset of chest pain. He is tachypneic on presentation. O2 saturation is 82% on room air. BP is 80/60 mmHg. Heart rate is 125 bpm. Lung examination reveals diffuse bilateral crackles. Cardiac examination reveals a nondisplaced PMI. S1 is soft. P2 is loud. An S3 is present. A short decrescendo diastolic murmur is heard at the upper sternal border. Extremities are cool. Electrocardiogram reveals inferior STsegment elevation. He is promptly intubated, and pressors are started. A brief echocardiogram is performed at the bedside. The study is difficult, but reveals premature closure of the mitral valve. There is hypokinesis of the inferoposterior walls.
Which of the following would be your next course of action?
Transesophageal echocardiogram, emergent cardiac surgical consultation. The patient has a clinical presentation of severe acute AI (short diastolic murmur, soft S1 from premature mitral valve closure, low output state, and pulmonary edema). In the context of chest pain, this scenario suggests aortic dissection until proven otherwise. The dissection flap likely involves the ostium of the right coronary artery, producing the inferior ST-segment elevation. Thrombolytics should not be used until dissection is ruled out. Even if there is no dissection, an intra-aortic balloon pump should not be used with severe AI. The augmented diastolic pressure worsens the severity of the insufficiency. MRI would also provide the diagnosis, but given the hemodynamic instability of the patient, a bedside TEE would be a safer and quicker option to arrive at the diagnosis.
A 77-year-old patient is admitted to the hospital for urosepsis. His past medical history is significant only for having undergone AVR 5 years prior. On examination, he is febrile to 102°F. Heart rate is 106 bpm. Carotid upstrokes are full. Chest examination reveals clear lung fields. Cardiac examination reveals a hyperdynamic apical impulse, which is not displaced. S1 and S2 are normal. An early-peaking systolic murmur is heard at the sternal border. No diastolic murmur is heard. An echocardiogram is performed. Peak/mean gradients are 50/30 mmHg. LVOT VTI (velocity time integral) is 36 cm and aortic valve VTI is 78 cm. The aortic valve itself is not well seen. Flow in the descending thoracic aorta is normal. An echocardiogram 2 years prior had revealed peak/mean gradients of 24/12 mmHg. LVOT VTI was 19 cm and aortic valve VTI 41 cm.
What do you conclude about prosthetic aortic valve function?
No evidence for dysfunction. The physical examination does not suggest either stenosis or insufficiency. He appears to be in a high-output state, secondary to his febrile illness. As a result, the gradients are increased. The LVOT VTI is also increased, secondary to the increased cardiac output. The LVOT/aortic valve VTI ratio is the same in the two echocardiograms, which would speak against any significant obstruction.