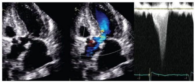
A 67-year-old woman is referred to your office for evaluation of a heart murmur. She describes symptoms of significant and limiting exertional dyspnea. On examination, she is normotensive. Pulse rate is 67 bpm and regular. Cardiac examination reveals a sustained but nondisplaced PMI. S1 and S2 are normal. An S4 is present. A loud III/VI systolic ejection murmur is heard throughout the precordium. Carotid upstrokes are delayed and diminished. An echocardiogram is performed (Fig. below).
Continuous-wave Doppler evaluation reveals a 4.5-m/s jet across the LVOT.
Which of the following would you do next to arrive at a diagnosis?
TEE. The echocardiogram reveals a normal-appearing aortic valve. Yet, the profile of the continuous-wave Doppler jet is more consistent with a fixed obstruction, as opposed to the dagger shape of dynamic obstruction. These findings are suggestive of the presence of a subvalvular membrane. TEE would be useful to better delineate this area and identify the membrane. The patient already has a 5-m jet in the absence of systolic anterior motion; therefore, it would not be prudent to use provocation with amyl nitrate. A stress echocardiogram would have no diagnostic value and may have some risk in the setting of symptomatic LVOT obstruction. One should always consider contamination with an MR signal; however, the physical examination is consistent with outflow tract obstruction and the continuouswave Doppler signal begins after the QRS (after isovolumetric relaxation) consistent with outflow tract obstruction. The MR signal will begin earlier relative to the QRS (through isovolumetric contraction).
A 30-year-old woman presents to your office for a routine physical examination. She is asymptomatic. BP is 95/65 mmHg, with a resting heart rate of 65 bpm. Physical examination is remarkable for a mild pectus deformity. On cardiac auscultation, a mid-systolic click is heard. The click is heard earlier in systole with standing, and later in systole with squatting. No murmur is heard at rest, but a soft systolic murmur becomes audible with dynamic maneuvers.
Echocardiography demonstrates no high-risk features.
What is the role of aspirin therapy in such patients who have had no evidence of embolic events?
There is no clear role for aspirin therapy in such patients. If there is echocardiographic evidence for high-risk mitral valve prolapse (leaflet thickening, elongated chordae, left atrial enlargement, and LV dilation), aspirin therapy is considered a class IIb indication. Therapy is clearly recommended if there have been documented stroke or transient ischemic events.
A 50-year-old man with severe AI is referred to you for a second opinion. He is asymptomatic. An echocardiogram reveals a mildly dilated LV (end-diastolic dimension of 6.2 cm and end-systolic dimension of 3.5 cm) with a normal ejection fraction. He has already undergone a stress echocardiogram. He exercised for 14 METs. No symptoms or electrocardiographic changes were noted. Resting ejection fraction was calculated at 65%. Post stress, the ejection fraction is 60%. No segmental wall motion abnormalities were seen.
What do you recommend?
Continue with vasodilator therapy and reassess in 6 months. By ACC/AHA guidelines, decline in ejection fraction following stress echocardiography by itself is not an accepted indication for referral to surgical intervention. Owing to the high afterload and the increase in afterload on exercise, a small-to-modest decline in ejection fraction (<10%) may still be consistent with well-compensated AI. This patient has normal resting ejection fraction and mildly dilated LV with excellent functional capacity.
A 70-year-old man presents to your office with complaints of exertional dyspnea. He is mildly hypertensive on examination. Carotid upstrokes are brisk, with a secondary upstroke. A loud III/VI systolic murmur is heard along the sternal border radiating to the neck. S1 and S2 are normal. An S4 is heard. The murmur increases in intensity with Valsalva and decreases with handgrip.
An echocardiogram reveals a <2-m/s jet across the LVOT.
What is your next step?
Repeat the echocardiogram with amyl nitrate (Fig. below). The physical examination is highly suggestive of hypertrophic cardiomyopathy (brisk, bisferiens carotid pulse, normal S2 , and murmur increasing with Valsalva and decreasing with handgrip). The patient may not have a significant resting gradient, but may have a significant provocable gradient. Generally, a transesophageal echocardiogram is not needed to make the diagnosis. Invasive hemodynamics with provocation would be useful, but angiography alone would not be sufficient.
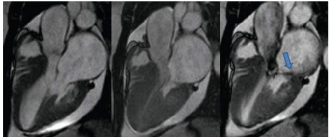
A 26-year-old woman with a history of hypertrophic obstructive cardiomyopathy is referred for consideration for septal myectomy. She has NYHA class III dyspnea on exertion despite maximal medical therapy. On echocardiography, there is severe asymmetric septal hypertrophy with severe systolic anterior motion of the mitral valve. There is a late-peaking gradient across the LVOT of 60 mmHg, which increased to 105 mmHg with Valsalva. She has a structurally normal mitral valve on cardiac MRI with moderately severe posteriorly directed MR (Fig. below).
What would you advise her regarding surgery?
She will probably not need surgery on her mitral valve. MR secondary to systolic anterior motion of the mitral valve is related to hydrodynamic drag and Venturi effects on the anterior mitral valve. Often there are intrinsic mitral valve abnormalities that, in combination with septal hypertrophy, predispose to systolic anterior motion. Abnormal chordal attachments or hypermobile papillary muscles seen best on cardiac MRI may mandate chordae remodeling or papillary muscle reorientation; however, in this case the mitral valve apparatus is noted to be structurally normal. Relief of the hydrodynamic effects of a narrowed LVOT after myectomy will usually result in significant improvement in MR without further surgery. Before chest closure, careful assessment of MR should be done after the myectomy, usually with isoproterenol infusion, to ensure resolution.