Is frequently caused by ovarian tumors.
For the description, select the type of precocious puberty with which it is most likely to be associated.
Gonadotropin dependent precocious puberty is also known as central or true precocious puberty. It is characterized by normal gonadotropin levels (as opposed to expected low prepubertal gonadotropin levels) and a normal ovulatory pattern. It represents premature activation of a normally operating hypothalamic-pituitary axis. In these patients, the sexual characteristics are isosexual, or appropriate for the child’s gender. Although it is usually idiopathic, true precocious puberty can arise from cerebral causes such as tumors, radiation, trauma, or inflammatory diseases. Gonadotropin independent precocious puberty is also called peripheral or pseudo precocious puberty. This may be caused by excess secretion of sex hormones (estrogens or androgens) from either intrinsic or exogenous sources. Gonadotropins are suppressed in the prepubertal range. This type of puberty may be isosexual (appropriate for the child’s gender), or contrasexual (virilization of girls). Ovarian tumors are the most common cause of isosexual precocious pseudopuberty; some ovarian tumors, including dysgerminomas and choriocarcinomas, can produce so much gonadotropin that pregnancy tests are positive. Incomplete precocious puberty is usually idiopathic, and is characterized by only partial sexual maturity, such as premature thelarche or premature adrenarche (pubarche). Incomplete precocious puberty can be accompanied by abnormal function of the CNS. Gonadotropin levels are frequently normal in these patients. In gonadotropin-producing tumors, high levels of gonadotropins such as FSH are produced with subsequent production of estrogen.
Match the HSG with the correct description.
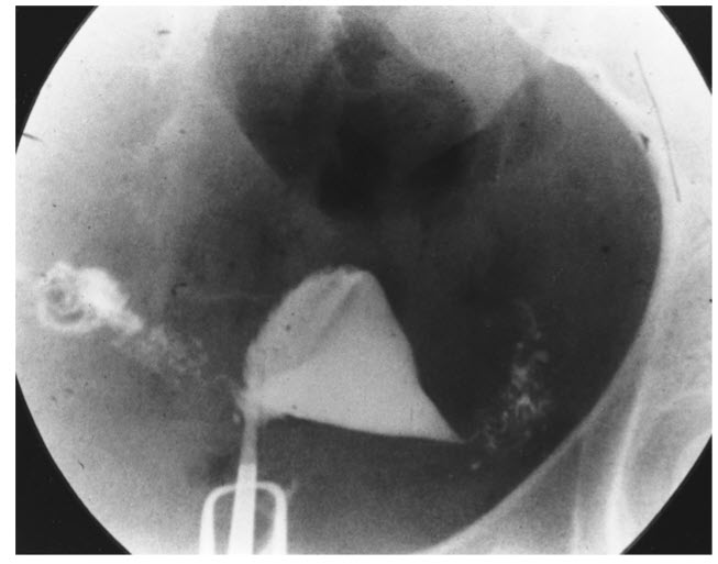
Hysterosalpingography is an important tool in the evaluation of infertility. It provides information regarding the shape of the uterine cavity and the patency of the tubes. Tubal factors, which may result from sexually transmitted diseases, are an important cause of infertility. The figure displays bilateral hydrosalpinx and clubbing of the tubes, with no evidence of spillage into the peritoneal cavity. The uterine cavity appears normal.
Hysterosalpingography is an important tool in the evaluation of infertility. It provides information regarding the shape of the uterine cavity and the patency of the tubes. Tubal factors, which may result from sexually transmitted diseases, are an important cause of infertility. The figure shows unilateral hydrosalpinx and evidence of adhesions within the uterine cavity consistent with Asherman syndrome. These adhesions appear as filling defects. There is no filling of the other tube, consistent with proximal occlusion.
Hysterosalpingography is an important tool in the evaluation of infertility. It provides information regarding the shape of the uterine cavity and the patency of the tubes. Tubal factors, which may result from sexually transmitted diseases, are an important cause of infertility. The figure shows one tube fills and has unilateral hydrosalpinx; the other shows loculation and minimal fluid accumulation. The uterine cavity here is normal.
Hysterosalpingography is an important tool in the evaluation of infertility. It provides information regarding the shape of the uterine cavity and the patency of the tubes. Tubal factors, which may result from sexually transmitted diseases, are an important cause of infertility. The figure shows salpingitis isthmica nodosa, in which there is a characteristic “salt-and-pepper” pattern of tubal filling and evidence of a diverticulum of the tube on one side.