A 65-year-old man presents for a routine physical examination. During the interview he complains about swelling behind his right knee. You order an ultrasound of the area (findings illustrated in figure below).
After finding the results illustrated in Figure above you refer the patient for ultrasound of the abdomen and contralateral popliteal artery. No additional abnormalities are discovered. What is the next appropriate step in his management?
Refer for repair of the aneurysm. Popliteal artery aneurysms measuring greater than 2.5 cm are at risk for thrombosis, embolism, or rupture and therefore should be repaired. Popliteal artery aneurysms measuring less than 2.5 cm are imaged at regular intervals.
Reference:
Anderson JL, Halperin JL, Albert NM, et al. Management of patients with peripheral artery disease (compilation of 2005 and 2011 ACCF/AHA guideline recommendations): a report of the American College of Cardiology Foundation/American Heart Association Task Force on Practice Guidelines. Circulation. 2013;127:1425–1443.
What is the most common complication of untreated, symptomatic popliteal artery aneurysms measuring more than 2.5 cm in greatest dimension?
Thromboembolism. Popliteal artery aneurysms most commonly cause thromboembolism that can lead to popliteal artery occlusion or painful distal embolic lesions. Rupture of popliteal artery aneurysms occurs infrequently.
During rounds in the telemetry unit you evaluate a 55-year-old woman 1 day after she underwent a left heart catheterization. She complains of right groin pain and swelling at the vascular access site. You order a duplex ultrasound of the right groin. Findings of the ultrasound are illustrated in Figure below A and B.
What is your diagnosis?
Pseudoaneurysm. The spectral Doppler waveform shown is a typical toand-fro signal seen within the neck of the pseudoaneurysm. The incidence of pseudoaneurysm complicating percutaneous arterial procedures ranges between 0.2% and 0.5%. Patients typically present post catheter-based procedure with a painful pulsatile mass. When small these may resolve spontaneously, while others require intervention such as ultrasound-guided thrombin injection or surgical repair.
Ferguson JD, Whatling PT, Martin V, et al. Ultrasound guided percutaneous thrombin injection of iatrogenic femoral artery pseudoaneurysms after coronary angiography and intervention. Heart. 2001;85(4):e5.
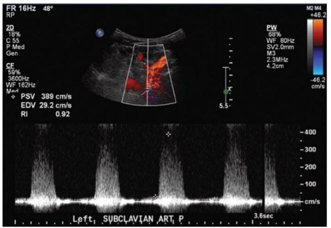
A 64-year-old woman presents to the clinic for evaluation prior to coronary artery bypass surgery. She underwent carotid duplex ultrasound demonstrating normal bilateral internal carotid arteries. Images from her scan are illustrated in Figure below.
What unexpected condition is demonstrated by her ultrasound images?
Subclavian artery stenosis. Color Doppler imaging shows significant color aliasing, spectral broadening, and turbulent high-velocity flow within the subclavian artery. It is important to recognize severe subclavian artery stenosis prior to coronary artery bypass surgery in which the internal mammary artery may be utilized. Severe subclavian artery stenosis can lead to retrograde flow in the internal mammary artery predisposing to early graft failure. In an aneurysm usually the velocities are decreased.
A 55-year-old woman with a history of deep vein thrombosis 2 months ago for which she was on warfarin was admitted to the hospital for chest pain. She underwent chest CT angiography which was negative for pulmonary embolism. She underwent a left heart catheterization after her INR normalized. During her procedure she received IV heparin. Her coronary arteries were free of disease. Following the procedure she was prescribed 10 mg of warfarin daily for 3 days. During this time her CBC was monitored and her hemoglobin and platelet counts showed minor fluctuations. A day later she developed a lesion on her abdomen illustrated in Figure below.
What is the likely cause of the skin lesion?
Warfarin skin necrosis. Pictured is a large erythematous lesion with surrounding violaceous borders. Given the history of several days of high doses of warfarin without parental anticoagulation makes warfarin skin necrosis the most correct response. Heparin skin necrosis has been described but usually occurs at the site of subcutaneous injections. HIT can rarely be associated with necrotic skin lesions but in this case her platelets remained stable. A vasculitis can cause skin necrosis but is unlikely in the given scenario.