Your-Doctor
Multiple Choice Questions (MCQ)



Free Palestine
Quiz Categories Click to expand

Category: Cardiology--->Adult Congenital Heart Disease and Pregnancy
Page: 10

Question 46# Print Question

Match the following disease condition with it's gender preponderance.

Pulmonary atresia with an intact ventricular septum.

A. Predominantly male
B. Predominantly female
C. Equal preponderance


Question 47# Print Question

Match the following cardiac catheterization still-frame slide to it's respective diagnosis.

A. Coarctation of the aorta
B. Patent ductus arteriosus (PDA)
C. Hypertrophic cardiomyopathy
D. Pulmonic stenosis
E. Ventricular Septal Defect (VSD)


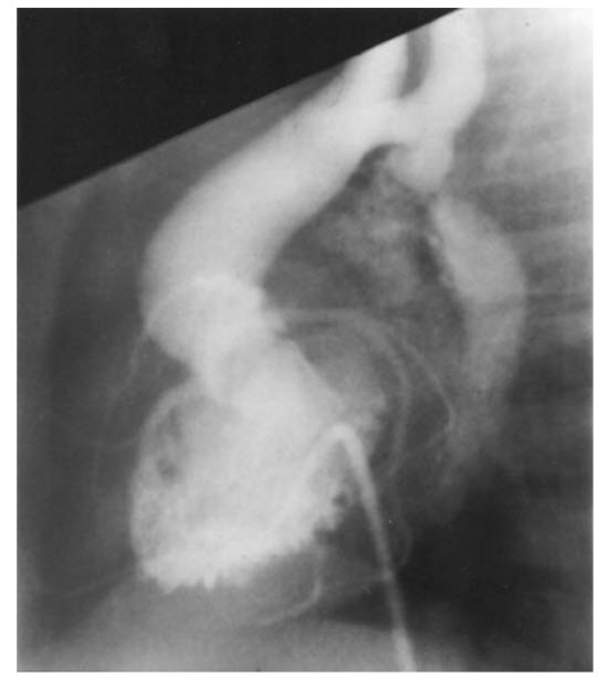
Question 48# Print Question

Match the following cardiac catheterization still-frame slide to it's respective diagnosis.

A. Coarctation of the aorta
B. Patent ductus arteriosus (PDA)
C. Hypertrophic cardiomyopathy
D. Pulmonic stenosis
E. VSD


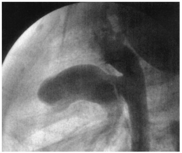
Question 49# Print Question

Match the following cardiac catheterization still-frame slide to it's respective diagnosis.

A. Coarctation of the aorta
B. Patent ductus arteriosus (PDA)
C. Hypertrophic cardiomyopathy
D. Pulmonic stenosis
E. Ventricular Septal Disease (VSD)


Question 50# Print Question

Match the following cardiac catheterization still-frame slide to it's respective diagnosis.

 

A. Coarctation of the aorta
B. Patent ductus arteriosus (PDA)
C. Hypertrophic cardiomyopathy
D. Pulmonic stenosis
E. Ventricular Septal Defect (VSD)




Category: Cardiology--->Adult Congenital Heart Disease and Pregnancy
Page: 10 of 20