Match the following congenital cardiac disorder
Subaortic valve stenosis
with the characteristic transthoracic echocardiogram (TTE) finding in figures below:
a.
b.
c.
d.
e.
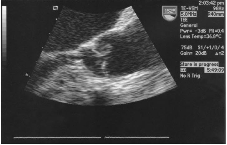
Figure b. A magnified TEE long-axis view of the LVOT, aortic valve, and ascending aorta. There is a membrane visible in the LVOT, consistent with a subaortic membrane.
Which of the following are associated with patent foramen ovale (PFO)?
All of the above. The foramen ovale is the interface between the septum primum and septum secundum and in utero provides an important route for blood as it bypasses the collapsed fetal lungs (oxygenation being achieved via the placenta). In about 25% of humans the flap of tissue making up the foramen ovale does not fuse after birth and results in a PFO. Stroke patients with PFO and atrial septal aneurysm (ASA) have an average annual risk of recurrent stroke of 4.4%. 10 PFO is also associated with decompression sickness, platypnea-orthodeoxia, and migraine. Factors associated with a greater risk of paradoxical embolism are large PFO size and the presence of an ASA. Though several management strategies exist for patients with cryptogenic stroke and PFO, including anticoagulation, antiplatelet therapy, and closure via percutaneous or surgical means, no clear consensus regarding therapy exists.
A 25-year-old man is referred to you for an abnormal heart sound. The patient is asymptomatic and very active. BP is 130/50 mmHg. He has a continuous murmur at the left upper sternal border. A TTE reveals a small PDA with mildly dilated left atrium (LA) and mildly dilated LV but normal RV size and normal pulmonary pressures. How would the patient be best managed?
Ligation or percutaneous closure of the PDA. PDA is the persistence after birth of an in utero communication between the aorta and the left PA, which, along with the foramen ovale, is designed to bypass blood away from the collapsed fetal lungs. It is the third most common congenital heart defect in adults and is generally found in isolation in the adult. Frequently, this lesion is discovered by the unusual quality of a continuous “machinery” murmur at the left upper sternal border. Because a patent ductus is an aortopulmonary communication, the pulse pressure frequently is widened and the pulses are brisk to bounding.
Closure of a PDA either percutaneously or surgically is indicated for LA and/or LV enlargement or in patients with prior endarteritis. 1 It is reasonable to close a small asymptomatic PDA by catheter device so as to decrease the future risk of endarteritis (0.45% per year after the second decade of life); however, this is somewhat controversial. Surgical repair is recommended in those who meet indications and with PDAs too large for device closure or distorted ductal anatomy. Pulmonary vasodilators are not indicated in this patient due to the absence of pulmonary hypertension. By lowering pulmonary vascular resistance, pulmonary vasodilators could conceivably increase left-to-right shunting in those with moderate-to-large PDAs. Endocarditis prophylaxis is recommended for ACHD patients with a residual shunt including PDA.
Which of the following is most commonly associated with a sinus venosus Atrial Septal Defect (ASD)?
Anomalous right pulmonary venous connection. Sinus venosus ASDs constitute 2% to 3% of interatrial communications. Strictly speaking, this defect lies outside the true atrial septum and is an abnormality of the venous connections. These defects are located on the right side of the upper or posterior atrial septum, most commonly at the SVC/RA junction and less commonly at the level of the inferior vena cava (IVC). Because of their superior location, sinus venosus defects are easily missed on TTE. Partial anomalous venous return of the right upper pulmonary vein is a common association (seen in up to 85% of patients). A bicaval view on TEE or demonstration by CT/MRI is diagnostic.
The best echocardiographic scan plane for demonstrating a secundum ASD is
Subcostal four-chamber view. ASDs and anomalous pulmonary venous return should be suspected in patients with unexplained RV dilatation and volume/pressure overload (figure below).
The findings of RA and RV dilatation in the apical four-chamber (A4C) view (A) and significant right-to-left shunting of agitated saline (B) are highly suggestive of an ASD ± anomalous pulmonary venous return. A secundum ASD is confirmed as a defect in the midportion of the interatrial septum, best seen in subcostal scan plane (C) and with color flow Doppler (D). ASD, atrial septal defect; RA, right atrium; RV, right ventricle.
A secundum ASD is the common type of ASD and is located centrally in the interatrial septum at the site of the fossa ovalis. The defect may be single, multiple, or fenestrated. This defect is best viewed by transthoracic echocardiography in the subcostal view (due to ultrasound waves being better reflected off the interatrial septum in this view). Coexisting partial anomalous pulmonary venous drainage is seen in 5% of patients with a secundum ASD. The atrial septal defect occurs when the interatrial septum is deficient at the crux of the heart/level of the atrioventricular valves. A primum ASD occurs as part of the spectrum of AVSD. Partial AVSD commonly describes a primum ASD in combination with a so-called cleft mitral valve, more correctly described as a trileaflet left-sided AV valve. Primum ASDs are often well demonstrated from the apical four-chamber view (± subcostal) in association with mitral regurgitation from a trileaflet left-sided AV valve (figure below).
Primum ASD and its associated features. Note that the septal leaflet of the tricuspid valve is on the same plane as the mitral valve (A). Normally the septal leaflet of the tricuspid leaflet is apically displaced compared with the mitral valve. Mitral regurgitation frequently coexists with primum (B). (C) Short-axis views of the mitral valve show a “cleft” pointing toward the septum (*). (D) The cleft is more accurately characterized as a commissure between the superior and inferior bridging leaflets of the common AV canal. Additional echocardiographic features of AVSD (not demonstrated here) include elongation of the LV outflow tract (gooseneck deformity) ± LVOT obstruction. A4C, apical 4 chamber; ASD, atrial septal defect.
A coronary sinus defect is located in the wall that separates the coronary sinus from the LA. It may be fenestrated or completely absent. There is an associated left-sided SVC contributing to dilatation of the coronary sinus seen best on parasternal long-axis views. A coronary sinus defect should be suspected in a patient who has evidence of RV volume or pressure overload but no suggestion of a defect in the central portion of the atrial septum. Injection of agitated saline into the left arm leads to contrast in the coronary sinus, then the RA and finally the RV. An unroofed coronary sinus contains fenestrations such that bubbles travel from the left sided SVC and into the left atrium.