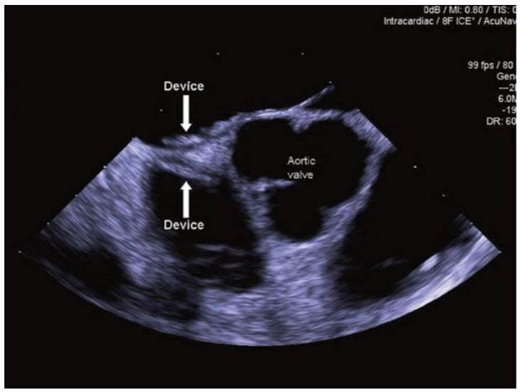
Review the image taken at the time of percutaneous closure of an intracardiac shunt in a 25-year-old patient (Fig. below).
Which of the following defects was closed in this patient?
Secundum ASD. The majority of secundum ASDs can be closed with a percutaneous catheter technique. ASD closure is indicated for RA and RV enlargement with or without symptoms. Small ASDs (<5 mm) with no evidence of volume overload do not require closure unless associated with cryptogenic paradoxical embolism. Sinus venous, coronary sinus, and primum defects are not amenable to device closure (Fig. below).
An atrial septal defect (ASD) occlusion device is seen positioned across a secundum ASD. The image was acquired using intracardiac echocardiography and consists of a short-axis view of the heart demonstrating the aortic valve and the interatrial septum dividing the left atrium (LA) and right atrium (RA).
Secundum ASDs may be associated with:
All of the above. Large ASDs can lead to RV volume overload, excessive blood flow to the pulmonary circulation, and pulmonary hypertension. Associated lesions are listed in (Table below) for each ASD type.
Atrial Septal Defects and Associated Lesions:
Which type of VSD is demonstrated in figure below:
Type 2/perimembranous.
Classification of Ventricular Septal Defects:
Percutaneous VSD closure is approved by the U.S. Food and Drug Administration for which type of VSD?
Type 4/muscular. When indicated (see also Question 9), percutaneous device closure of a muscular VSD may be performed in VSDs remote (>4 mm) from the tricuspid and aortic valves. Percutaneous VSD closure is NOT approved by the U.S. Food and Drug Administration in the presence of the following:
What is the most common coexisting congenital anomaly in patients with coarctation of the aorta?
Bicuspid aortic valve. Aortic coarctation is a common congenital defect that usually occurs in the region of the ligamentum arteriosus. It is most often discrete but may be associated with diffuse hypoplasia of the aortic arch and isthmus. Bicuspid aortic valve is the most common coexisting anomaly. However, the presence of VSD, PDA, and malformations of the mitral valve apparatus is well documented. Intracranial aneurysms have been reported in 3% to 10% of patients with coarctation of the aorta. 12 There is no association between aortic coarctation and Ebstein anomaly (the latter being associated with right-sided lesions).