A 78-year-old woman is referred to cardiology clinic for management of aortic regurgitation. The patient has no cardiac risk factors except mild hypertension (HTN) on monotherapy and has not previously undergone cardiac testing. A review of systems is notable for recent onset of headaches and myalgias.
Physical Examination:
Blood pressure (BP)—138/78 mmHg in both arms; pulse—62 bpm. Funduscopic examination reveals no changes consistent with hypertensive retinopathy. The heart examination is notable for a normal S1 and increased intensity S2 (A2 ). An S4 gallop, II/VI diastolic decrescendo murmur heard best at the right sternal border, and III/VI early-peaking systolic ejection murmur heard at the left sternal border are present. There is no systolic ejection click. The carotid pulse is of normal intensity and contour and the pulses in the upper and lower extremities are strong and equal.
Electrocardiogram (ECG) reveals sinus rhythm with nonspecific ST changes.
A transthoracic echocardiogram (TTE) is performed showing normal left ventricular (LV) size and function with a trileaflet aortic valve. Aortic measurements are as follows: sinus of Valsalva—4.0 cm; sinotubular junction— 4.4 cm; mid-ascending aorta—4.5 cm with moderate effacement of the sinotubular junction. Peak and mean aortic gradients are 22/13 mmHg with moderate (2+) aortic regurgitation. A small circumferential pericardial effusion is present. Laboratory tests reveal an erythrocyte sedimentation rate of 74.
What additional test would be most helpful in determining the etiology of the patient’s aortic dilatation and aortic regurgitation?
Magnetic resonance angiography (MRA) of the great vessels. The presence of a pericardial effusion and an elevated erythrocyte sedimentation rate in a patient with aortic dilatation suggests an inflammatory etiology. Etiologies of aortic aneurysms are listed in Table below. Inflammatory aortitis includes systemic diseases and primary large-vessel vasculitis. Numerous systemic diseases may involve the aorta, including systemic lupus erythematosus, rheumatoid and psoriatic arthritis, inflammatory bowel disease, ankylosing spondylitis, systemic sclerosis, relapsing polychondritis, Behçet syndrome, and Reiter syndrome. Primary vascular disorders include Takayasu and giant cell arteritis. MRA of the aorta may distinguish characteristic thickening and tissue edema that are diagnostic of aortitis.
Aetiologies of Aortic Aneurysm:
What is the most likely diagnosis to explain the patient’s aortic dilatation and aortic regurgitation?
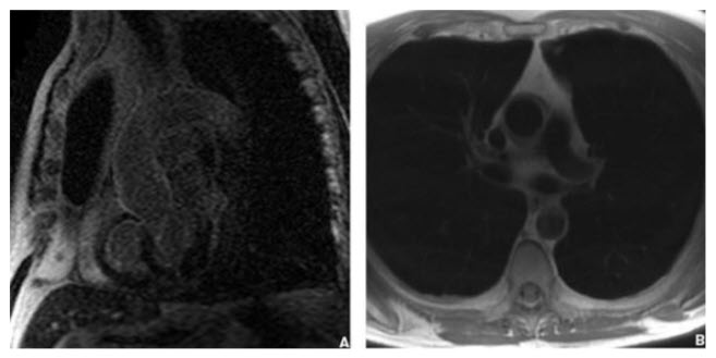
See figure below.
Giant cell arteritis. The presence of systemic symptoms including headaches and myalgias with an elevated sedimentation rate in an elderly woman is suggestive of temporal arteritis. Temporal arteritis affects women twice as often as it does men and is most commonly seen after age 55 years. Temporal artery tenderness may be present with the potential for blindness to occur. Biopsy of the temporal arteries is diagnostic. Associated giant cell arteritis with involvement of the aorta and branch vessels with aneurysm formation may occur. Diagnostic criteria are sensitive and specific for giant cell arteritis if at least three of the following findings are present: (a) >50 years of age, (b) recent onset of localized headaches, (c) temporal artery tenderness or pulse attenuation, (d) erythrocyte sedimentation rate >50 mm/h, and (e) arterial biopsy showing necrotizing vasculitis. The MRA of this patient shows features of vessel thickening of the ascending aorta and arch with “edema”-weighted characteristics and mural enhancement suggestive of an inflammatory aortitis and consistent with giant cell aortitis. Corticosteroids therapy can be used to reduce inflammation seen with aortitis with guidance from serial MRA imaging. Cardiac MRI. Sagittal delayed enhancement (phase-sensitive inversion recovery) image (A) and axial black-blood (double IR) (B) images demonstrating diffuse mural enhancement (A) and thickening of the ascending aorta and arch (B) consistent with an inflammatory arteritis. This patient has giant cell arteritis of the aorta (see figure in the question).
An 18-year-old woman presents for her annual physical examination. She had a brother with Marfan syndrome who was 24 years old when he died suddenly. She is active and asymptomatic.
5 feet 7 inches (170 cm) and 150 pounds (68 kg).
Arm span-to-height ratio = 1.07.
Head and neck examination is notable for a high-arched palate and a slit-lamp examination shows ectopia lentis. Musculoskeletal examination is notable for a pectus carinatum and positive wrist and thumb sign. Cardiac examination is notable for a mitral valve click and a soft murmur of mitral regurgitation.
What additional testing is needed to determine whether this young woman has Marfan syndrome?
No additional testing. The revised Ghent criteria are based primarily on clinical criteria although genetic testing for the FBN1 mutation can aid in diagnosis. There are criteria for individuals with and without a family history of Marfan syndrome (see Table below). The patient presented has ectopia lentis and a family history of Marfan syndrome. Therefore, no additional information is required to make a diagnosis. She does additionally have systemic criteria that are consistent with the diagnosis, including pectus carinatum, wrist and thumb sign, high-arched palate, and mitral valve prolapse. An increased arm span-to-height ratio is no longer considered a diagnostic criterion for Marfan syndrome.
Revised 2010 Ghent Criteria for Marfan Syndrome:
A TTE is performed that shows mitral valve prolapse with mild (1+) mitral regurgitation. The aortic root is dilated at 5.0 cm with effacement of the sinotubular junction and a mid-ascending aortic measurement of 3.6 cm. The aortic valve is trileaflet with no aortic regurgitation.
What is the most important recommendation to be made to this patient?
Elective aortic replacement. The timing of surgery for patients with ascending aortic aneurysms caused by Marfan syndrome is addressed in the 2010 guidelines for thoracic aortic diseases. Surgery is recommended for asymptomatic patients with Marfan syndrome or other genetic etiologies for thoracic ascending aortic aneurysms between 4.0 and 5.0 cm (class I) or when the ratio of the maximal ascending aortic or aortic root area (π × radius2 ) in cm2 divided by the patient’s height in meters exceeds 10 (class IIa). In this patient, the calculation would be as follows: (π × 2.52 = 3.14 × 6.25 = 19.6 cm2 /1.70 m = 11.5), well above the 10:1 ratio. For women anticipating pregnancy, elective surgery should be performed when the ascending aortic dimension is >4.0 cm. Additional factors of importance include rate of change of aortic size >0.5 cm/year, presence and severity of aortic regurgitation, family history of dissection or sudden cardiac death, and the extent of aortic involvement. See Table below for timing of surgery in aortic diseases. An open-label study of adult patients with aortic dilatation and Marfan syndrome who were randomized to propranolol or no treatment showed less aortic dilatation and aortic complications among patients on propranolol. Therefore, β-blockers should be advised for this patient although this is not the most important recommendation.
Timing of Surgery for Thoracic Aortic Aneurysms:
The patient wishes to schedule surgery but prefers to wait 2 months until the end of the school year. Her father who is an internal medicine physician has read about the potential benefit of angiotensin receptor blockers (ARBs) for patients with aneurysms and asks your advice regarding treatment.
What is the postulated mechanism of action whereby ARBs reduce progression of aortic disease in Marfan syndrome?
Reduction in activity of transforming growth factor (TGF)-β. The ARB losartan has been associated with a reduction in the rate of aortic dilatation and aneurysm growth in both experimental mouse studies and recently an open-label randomized trial of Marfan syndrome patients (COMPARE trial). A larger prospective randomized trial comparing atenolol versus losartan sponsored by the NIH is in progress. The postulated mechanism of action is independent of BP lowering. Because of defective production in fibrillin due to the FBN1 mutation, there is overexpression of TGF-β activity. TGF-β activity leads to an increase in destructive MMPs, which cause aortic wall weakening. Losartan appears to block the overproduction of TGF-β and MMPs so that aortic wall integrity is maintained.