A 67-year-old man with long-standing HTN presents to the emergency room (ER) with sudden-onset chest pain described as ripping in quality, subsiding since its onset. He underwent a cardiac catheterization 6 months previously that showed a 40% lesion in the mid-left anterior descending coronary artery. His medications include aspirin, gemfibrozil, and nifedipine.
Physical Examination:
He appears diaphoretic. HR—110 bpm; BP—106/54 mmHg (right arm); 72/35 mmHg (left arm). Jugular venous pressure—12 cm H2O. Heart sounds are soft and there is no audible systolic or diastolic murmur. Left radial and brachial pulses are weak. ECG on presentation shows ST elevations in the inferior leads and low voltage.
Chest X-ray (CXR) shows cardiomegaly with a globular-shaped heart and interstitial edema.
Which of the following is the first diagnostic test that should be performed?
TTE. A TTE should be performed immediately in this patient since the clinical findings are highly suggestive of a proximal ascending aortic dissection (character of chest pain, differential BPs, and weak pulses) and cardiac tamponade (tachycardia, elevated jugular venous pressure, soft heart sounds, and globular-shaped heart on CXR with interstitial edema). Cardiac enzymes may determine the presence of myocardial injury but not reveal the cause. An acute inferior MI is likely due to the aortic dissection involving the origin of the RCA and not due to occlusive coronary artery disease.
The advantages and disadvantages of CTA, MRA, and TEE for the diagnosis of aortic dissection have been reviewed in detail. Each of these tests has high diagnostic accuracy for diagnosing aortic dissection. The test of choice for a given patient should be determined based on the relative expertise of each institution, the rapid availability of the test and its interpretation, and the specific individual circumstances of a patient. Given the likelihood of an aortic dissection and the possibility of cardiac tamponade in this patient, a TTE or a TEE is best suited for this patient. A limited TTE could assess whether a pericardial effusion and cardiac tamponade are present followed by either a TEE or CTA of the aorta to confirm and determine the location and extent of dissection.
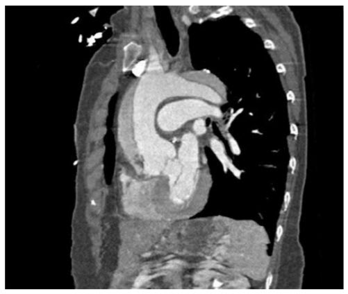
A TTE was performed showing a pericardial effusion and signs of cardiac tamponade. A CT angiogram is also performed and shown in figure below.
Emergent aortic surgery. A proximal aortic dissection with hypotension or cardiac tamponade should be treated by emergent aortic surgery. A rapid confirmatory test can be performed on the way to or in the operating room. Small retrospective reviews have raised concerns regarding pericardiocentesis in patients with cardiac tamponade and aortic dissection. Rapid decompensation and death can occur in some patients due to propagation of dissection and increased bleeding into the pericardium. Most importantly, the presence of cardiac tamponade with aortic dissection should mandate immediate surgery. Pericardiocentesis can be performed if the patient is deteriorating rapidly and surgical assistance is not readily available or if the patient is in pulseless electrical activity.
Controversy also exists regarding cardiac catheterization for patients with proximal aortic dissection. Proponents of cardiac catheterization argue that patients with severe obstructive coronary disease require grafting at the time of surgery and that failure to do so will increase the risk of perioperative and postoperative cardiac events. Those who favor not performing cardiac catheterization argue that any delay may increase the risk of death and that an invasive procedure will add further risk of dissection, tamponade, or rupture. One study comparing outcomes of patients undergoing surgery for aortic dissection found that those not undergoing cardiac catheterization had similar mortality than those undergoing the procedure. The 2010 guidelines for thoracic aortic diseases recommend that coronary angiography should be considered if the patient is over 40 years of age, stable, and has either known CAD, significant risk factors for CAD, or an ischemic presentation. Computed tomographic angiography of the chest. Sagittal oblique reconstruction shows an ascending aortic and aortic arch aneurysm with a dual lumen consistent with a type A aortic dissection (see figure in the question).
A 36-year-old man with a bicuspid aortic valve develops sudden onset of headache, mental status changes, and unequal pupils. He is rushed to an ER and a head CT scan is done that shows an intracranial bleed. BP on presentation is 158/78 mmHg.
Except for a history of HTN, he has no known medical problems and no history of drug abuse. A visit to his physician’s office 1 week earlier revealed a BP of 120/75 mmHg on metoprolol and ramipril.
What is the most likely reason for the patient’s intracranial bleed?
Cerebral aneurysm rupture. The history of HTN requiring treatment in a young man with a bicuspid aortic valve suggests the likelihood of an aortic coarctation. Given his recent well-controlled BP, aortic dissection, hypertensive crisis, and endocarditis are unlikely. A known association between aortic coarctation and cerebral aneurysms involving the circle of Willis is well established. Testing for this abnormality with MRA or CTA of the brain should be performed for coarctation patients when any neurologic symptoms are present. However, at least a 1 time scan of the brain for intracranial aneurysms is recommended for all patients with coarctation accordingly to the 2008 guidelines for management of congenital heart disease.
What other structural abnormality is most commonly associated with coarctation of the aorta?
Ventricular septal defect. Several cardiac structural lesions are associated with coarctation of the aorta. The most common is a bicuspid aortic valve occurring in up to 85% of patients. Valvular, subvalvular, or supravalvular stenosis may occur. Aortic ectasia or aneurysm involving the ascending thoracic aorta and arch is often present. Other associated structural abnormalities include patent ductus arteriosus, perimembranous ventricular septal defect, and mitral stenosis (parachute mitral valve) as part of the Shone complex of left heart obstructive lesions.
A 74-year-old man presents to the ER with upper back pain ongoing for 3 hours. The pain is described as sharp and severe occurring at rest. He has no associated symptoms of shortness of breath, chest pain, or presyncope. His past medical history is notable for a coronary artery bypass graft (CABG) 2 years previously, HTN, and ongoing tobacco use. At the time of his CABG, he was noted to have a 4.4-cm ascending aortic aneurysm that was not repaired. His medications include aspirin, an angiotensin-converting enzyme inhibitor, and a β-blocker.
What is the most appropriate diagnostic procedure to perform next?
CTA of the chest and abdomen. The patient’s history is most suggestive of a thoracic aortic aneurysm or AAA or dissection. He is known to have thoracic aortic dilatation and atherosclerosis, and presents hypertensive with back pain and diminished pulses. Although TEE may be accurate for diagnosis of aortic dissection above the diaphragm, a CT scan may extend imaging to the entire aorta including the abdominal aorta and provide information regarding the involvement of branch vessels. Therefore, CT imaging would be preferable. Aortography is invasive and could cause further injury to the aorta. However, it could provide useful information along with angiography regarding the patency of the patient’s bypass grafts and native circulation.