Your-Doctor
Multiple Choice Questions (MCQ)



Free Palestine
Quiz Categories Click to expand

Category: Cardiology--->Aorta And Hypertension
Page: 9

Question 41# Print Question

A 74-year-old man presents to the ER with upper back pain ongoing for 3 hours. The pain is described as sharp and severe occurring at rest. He has no associated symptoms of shortness of breath, chest pain, or presyncope. His past medical history is notable for a coronary artery bypass graft (CABG) 2 years previously, HTN, and ongoing tobacco use. At the time of his CABG, he was noted to have a 4.4-cm ascending aortic aneurysm that was not repaired. His medications include aspirin, an angiotensin-converting enzyme inhibitor, and a β-blocker.

Physical Examination:

  • BP—180/110 mmHg.
  • Pulse rate—90 bpm.
  • Lung and cardiac examinations are unremarkable and no cardiac murmur is heard. The abdomen is mildly tender with no bruit. Pulses are equal but diminished in the lower extremities. 
  • ECG shows sinus rhythm with nonspecific ST changes and an old inferior myocardial infarction (MI).
  • Laboratory tests including cardiac enzymes, liver function tests, amylase, and lipase are normal.

A CT scan demonstrates an ascending aortic aneurysm of 4.8 cm and a descending thoracic aortic aneurysm of 6.0 cm but no evidence of dissection. There is no abdominal aortic aneurysm (AAA). The patient continues to have ongoing pain despite high doses of β-blockers, sodium nitroprusside, and opioid analgesics. 

ECG and cardiac enzymes remain normal.

D-dimer level is >500 ng/mL. 

What is the most appropriate next decision for management?

A. Cardiac catheterization
B. MRA (Magnetic Resonance Angiography) of the chest/aorta
C. TEE
D. Intensify medical therapy


Question 42# Print Question

A 62-year-old man presents for a routine annual examination. He has a history of HTN that is managed with monotherapy. He is active and has no symptoms.

Physical Examination:

  • BP—162/88 mmHg in both arms. Pulse rate—70 bpm. Heart and lung examination is unremarkable. Abdominal examination reveals a pulsatile mass. 
  • ECG shows sinus rhythm and a complete right bundle branch block.
  • Abdominal ultrasound shows an infrarenal AAA of 4.2 cm. 

What is the most appropriate management step? 

A. Initiate a β-blocker and repeat ultrasound in 6 months
B. Initiate a β-blocker and repeat ultrasound in 3 months
C. No medical therapy and repeat ultrasound in 1 year
D. No medical therapy and repeat ultrasound in 2 years


Question 43# Print Question

A 76-year-old man presents to the ER with severe sharp chest pain that began 2 hours previously. He has a history of HTN and had CABG 3 years ago after an MI. He continues to smoke. The CABG was performed off-pump because of severe atheroma in the ascending aorta seen by intraoperative TEE. The patient’s pain has not subsided with the initiation of IV heparin, nitroglycerin, and βblockers. The pain is different in character from the pain before his MI.

Physical Examination:

  • BP—160/94 mmHg.
  • Pulse—76 bpm.
  • Heart and lung sounds are normal.
  • Pulses are diminished in the lower extremities.
  • ECG shows a left bundle branch block.
  • Cardiac enzymes are normal × 1.

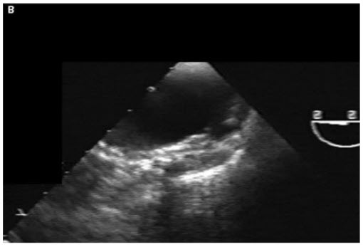
Despite severe atheroma in the aorta, the physician taking care of the patient is not convinced that he does not have an acute coronary syndrome and performs a cardiac catheterization. It shows that the grafts are patent and there is no culprit lesion in the native vessels. He then decides to perform aortography and a focal outpouching is seen in the aortic wall in the distal ascending aorta (Fig. below).

Contrast dye collects slowly in this region. The patient’s chest pain is intensifying. A TEE is also performed (Fig. below).

What is the correct diagnosis?

A. Aortic dissection
B. Aortic aneurysm
C. Intramural hematoma
D. Penetrating aortic ulcer


Question 44# Print Question

A 76-year-old man presents to the ER with severe sharp chest pain that began 2 hours previously. He has a history of HTN and had CABG 3 years ago after an MI. He continues to smoke. The CABG was performed off-pump because of severe atheroma in the ascending aorta seen by intraoperative TEE. The patient’s pain has not subsided with the initiation of IV heparin, nitroglycerin, and βblockers. The pain is different in character from the pain before his MI.

Physical Examination:

  • BP—160/94 mmHg.
  • Pulse—76 bpm.
  • Heart and lung sounds are normal.
  • Pulses are diminished in the lower extremities.
  • ECG shows a left bundle branch block.
  • Cardiac enzymes are normal × 1.

Despite severe atheroma in the aorta, the physician taking care of the patient is not convinced that he does not have an acute coronary syndrome and performs a cardiac catheterization. It shows that the grafts are patent and there is no culprit lesion in the native vessels. He then decides to perform aortography and a focal outpouching is seen in the aortic wall in the distal ascending aorta (Fig. below).

Contrast dye collects slowly in this region. The patient’s chest pain is intensifying. A TEE is also performed (Fig. below).

What is the most appropriate next management step to take?

A. Medical management with β-blockers and afterload reduction
B. Transfer to the operating room immediately for replacement of the ascending aorta
C. Medical management and obtain a CT chest/aorta
D. Medical management and obtain an MRA of the aorta


Question 45# Print Question

A 45-year-old woman presents with discomfort in her left leg with walking, dizziness, headaches, and a cold right hand. She has no chest pain or shortness of breath. There is no significant past medical history and she does not smoke. 

Physical Examination:

  • BP—170/82 mmHg (left arm) and 140/68 mmHg (right arm).
  • Lung sounds are clear. Cardiac examination is notable for a normal S1 and S2 and II/VI diastolic decrescendo murmur at the left sternal border.
  • The right brachial pulse is diminished and lower extremity pulses are diminished. A bruit is heard over the left carotid artery and right subclavian artery.

What test would be most useful for diagnosing the patient’s condition?

A. TEE (Transesophageal Echocardiography)
B. Carotid duplex ultrasound
C. Magnetic resonance imaging (MRI) of the head
D. Angiography




Category: Cardiology--->Aorta And Hypertension
Page: 9 of 25