Your-Doctor
Multiple Choice Questions (MCQ)



Free Palestine
Quiz Categories Click to expand

Category: Cardiology--->CT, CMR, And Nuclear Imaging
Page: 3

Question 11# Print Question

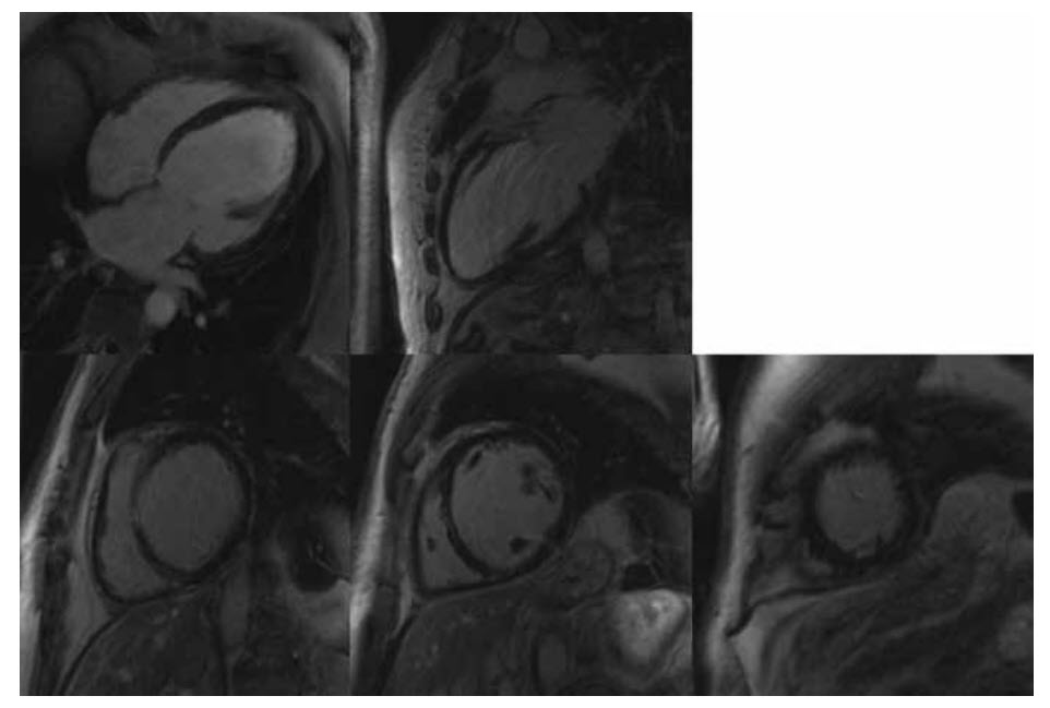
A 45-year-old man presents with chest pain radiating to his left arm of duration 2 hours. There is no relevant past medical history. Troponin levels were measured at 1434 ng/L. The ECG is shown below.

Video below shows the CMR long-axis cine images

Video below shows the short-axis cine images.

The late myocardial enhancement images are shown below

What is the diagnosis?

A. STEMI
B. Takotsubo
C. NSTEMI
D. Myocarditis
E. Hypertrophic cardiomyopathy


Question 12# Print Question

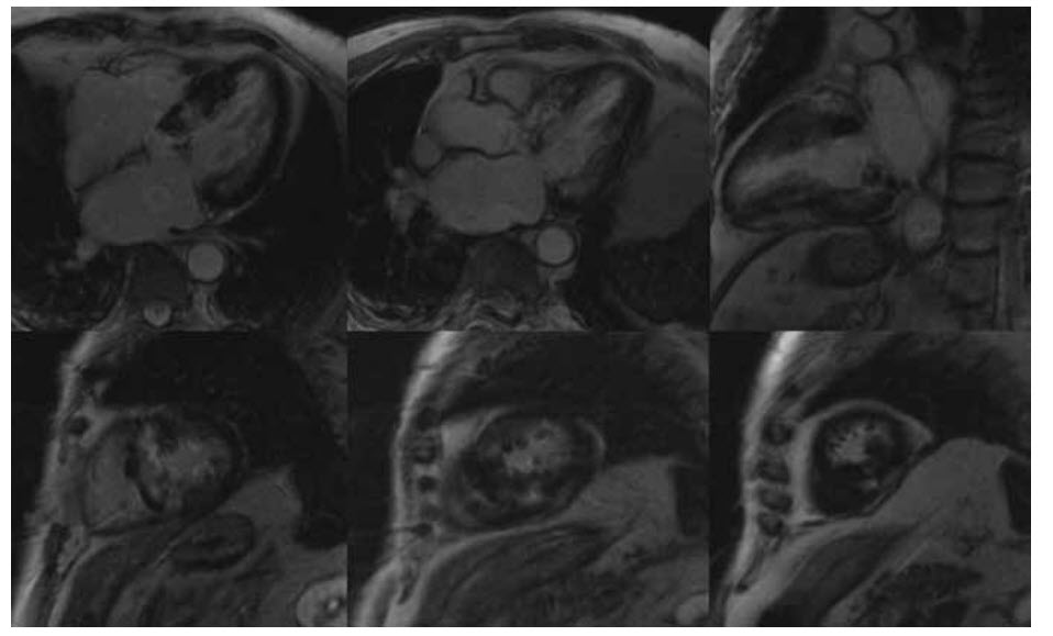
A 65-year-old man presents with angina to the outpatient clinic. There is a past history of myocardial infarction 10 years earlier. You list him to have an angiogram. The angiogram demonstrates an occluded left anterior descending artery and a 90% stenosis of the right coronary artery. A CMR is requested to assess viability prior to any potential intervention.  Video below shows the CMR long axis cines

Video below shows the short axis cines.

The late myocardial enhancement is shown below

Which of the following statements is correct?

A. The LAD territory is non-viable
B. The entire lateral wall is infarcted
C. The RCA territory is non-viable
D. Both LAD and RCA territories show >50% wall-thickness infarction
E. There is right ventricular infarction


Question 13# Print Question

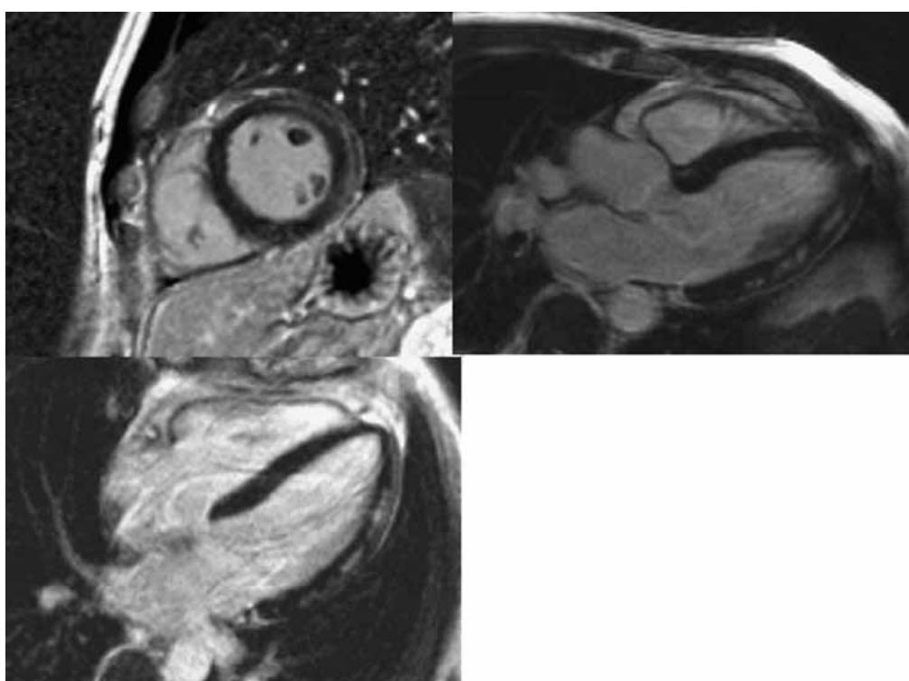
A 42-year-old man presents to the outpatient clinic with Canadian class 2 angina symptoms. His only risk factor is hypercholesterolaemia and he is on a statin. He is referred for an adenosine perfusion stress CMR to assess for inducible ischaemia. Video below shows the long-axis cines,

Video below shows the short-axis cines,

Video below shows the perfusion images (stress, top row; rest, bottom row).

The late myocardial enhancement is shown below in the four-chamber view (top left), three-chamber view (top right), and two-chamber view (bottom).

Which one of the following statements is correct?

A. There is myocardial infarction of the Cx territory
B. There is an inducible perfusion defect in the Cx territory
C. There is an inducible perfusion defect in the RCA territory
D. There is an inducible perfusion defect in the LAD and Cx territory
E. There is an inducible perfusion defect in the LAD territory


Question 14# Print Question

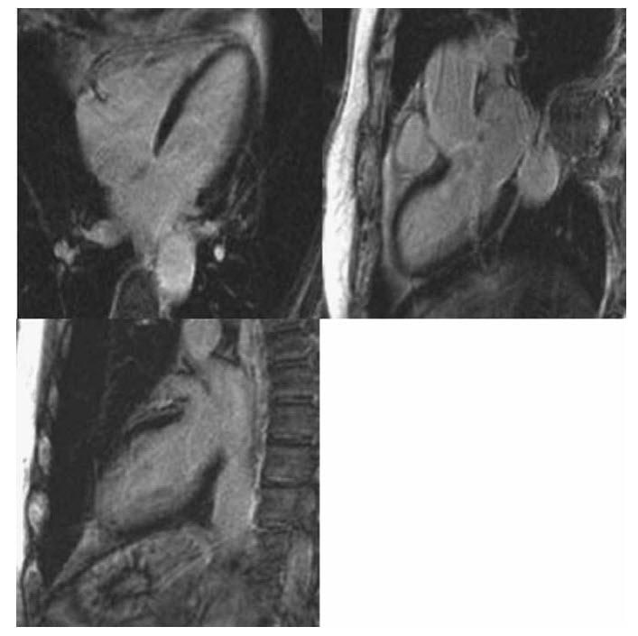
A 63-year-old man presents with a non ST-elevation acute coronary syndrome. His troponin is elevated at 650 ng/L. The ECG is unremarkable. He has a past medical history of familial hypercholesterolemia but is taking no medication. His cholesterol level is 11.3 mmol/L.

He undergoes coronary angiography which reveals triple-vessel disease. A CMR is undertaken to assess myocardial viability. z Video below shows the long-axis cines,

Video below shows the short-axis cines,

and Video below shows the stress perfusion images at the basal (top left), mid (bottom left), and apical (top right) levels.

The late myocardial enhancement images are shown ibelow (top row, left to right: basal, mid, and apical short axis; bottom row, four-chamber view).

Which of the following statements is correct?

A. There is right ventricular infarction
B. The Cx territory is viable
C. The LAD territory is infarcted
D. There is a significant pericardial effusion present
E. The RCA territory is non-viable


Question 15# Print Question

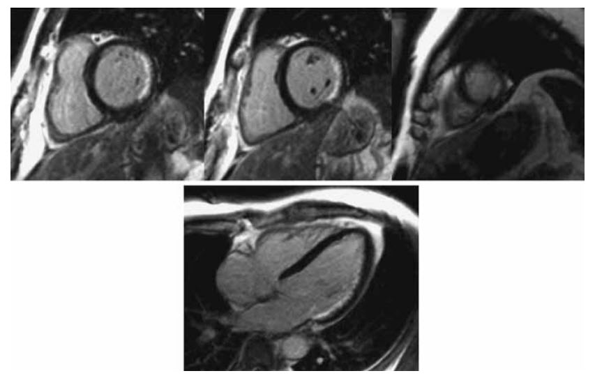
A 73-year-old male presents with breathlessness on exertion. His current medication consists only of amlodipine 5 mg od. His ECG demonstrates voltage criteria for left ventricular hypertrophy. A TTE reveals LVH so he is referred for CMR. Video below shows the long-axis cines

and Video below shows the short-axis cines.

Figure below shows the late myocardial enhancement of the four-, three-, and two-chamber views (top row, left to right) and the short-axis views at the basal, mid, and apical levels (bottom row, left to right).

What is the most likely diagnosis?

A. hypertrophic cardiomyopathy
B. amyloid
C. hypertensive heart disease
D. Fabry’s disease
E. None of the above




Category: Cardiology--->CT, CMR, And Nuclear Imaging
Page: 3 of 10