A 66-year-old man presents to the outpatient clinic with breathlessness on exertion. He is a smoker with treated hypertension. A TTE reveals a dilated LV with overall moderate LV systolic dysfunction. He has a CMR to try to elucidate the cause of the LV systolic dysfunction.
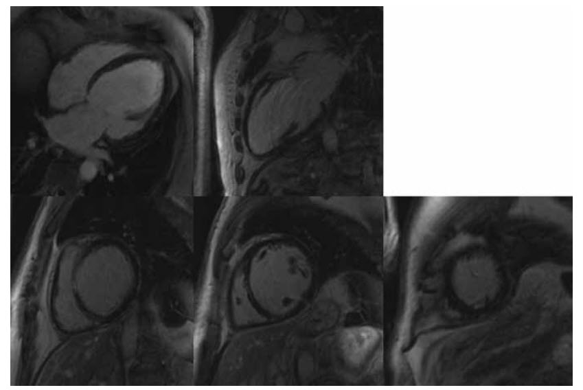
Video below shows the long-axis cines
Video below shows the short-axis cines.
Figure below shows late myocardial enhancement following gadolinium in the four- and two-chamber views (top row) and at the basal, mid, and apical levels (bottom row, left to right).
What is the diagnosis?
Dilated cardiomyopathy (DCM). There are increased LV volumes with global, not regional, LV systolic dysfunction. There is a thin band on mid-wall myocardial late enhancement in the septum in keeping with DCM.
You are asked to arrange a cardiac MRI to assess the left ventricular function of a patient following incomplete revascularization by percutaneous coronary intervention and stent implantation.
At what stage following the stent implantation is it safe to perform the scan?
The static magnetic field in an MRI scanner, although strong, would not create the shear forces necessary to displace a cardiac stent. There is no time limit for the examination, which can be performed safely during this hospital admission if necessary.
Which one of the following is an absolute contraindication for an MRI scan?
Most modern metallic valves are safe within the MRI enviroment but should be checked. It is generally recommended that the scan should be delayed following an orthopaedic procedure if possible, but if the clinical situation necessitates early scanning this has been reported as safe. Cerebral aneurysm clips are an absolute contraindication to MRI if there is no documentation of the type; this should be confirmed with the implanting centre and correspondence with the surgeon or radiologist involved. Shellock FG, Pocket guide to MRI procedures and metallic objects. Philadelphia, PA: Lippincott– Williams & Wilkins, 2001.
A 60-year-old man presents with angina and heart failure. His estimated ejection fraction by echocardiography is 25%. An invasive coronary angiogram demonstrates widespread severe three-vessel coronary disease with good distal targets. A CMR study shows an ejection fraction of 22% and <25% myocardial wall thickness of hyper-enhancement in the mid and apical inferior segments.
Which one of the following statements is correct?
The patient has widespread coronary disease with good distal targets and viable myocardium; his prognosis would be improved with revascularization. There is no late gadolinium enhancement (LGE) in the LAD territory (meaning that there is >80% chance of functional recovery) and between zero and 25% LGE in the RCA territory (meaning that there is >60% chance of functional recovery).
A 55-year-old man presents with a 2-week history of dyspnoea following an episode of severe chest pain. An invasive coronary angiogram shows a 95% stenosis in the proximal LAD and an akinetic anterior wall. He is referred for a cardiac MRI viability study prior to percutaneous revascularization.
We do not know whether or not the anterior wall is viable from the information given; therefore the MRI scan is justified. A transmural infarct in the LAD territory with 100% hyper-enhancement suggests that this area is non-viable and would not improve with revascularization.