Your-Doctor
Multiple Choice Questions (MCQ)



May ALLAH keep Kuwait safe
Quiz Categories Click to expand

Category: Cardiology--->CT, CMR, And Nuclear Imaging
Page: 6

Question 26# Print Question

This 45-year-old patient’s coronary angiogram confirms a discrete mid-LMS lesion with a possible ostial RCA lesion following a recent admission with a minor troponin-positive episode of acute pulmonary oedema. Type 2 diabetes is the only risk factor. Echocardiography is difficult to assess because of obesity, but LV function is probably only mildy impaired. How would you proceed based on the MPS shown below?

A. Optimize medical therapy
B. Consider CABG
C. Consider PCI LMS
D. Refer for LVAD/transplant
E. Refer for FFR or IVUS


Question 27# Print Question

This 75-year-old woman has undergone an MPS to risk stratify before a total hip replacement (shown below).

Adenosine stress was performed without symptoms. Her past medical history includes hypertension, hypercholesterolaemia, and atrial fibrillation.

Which one of the following statements is true?

A. The risk of future cardiac events is above normal (>1% p.a.)
B. Repeat scanning is required in 2 years
C. The patient is at low risk of a perioperative event
D. Coronary angiography is required (invasive or CTCA)
E. GI investigations are required


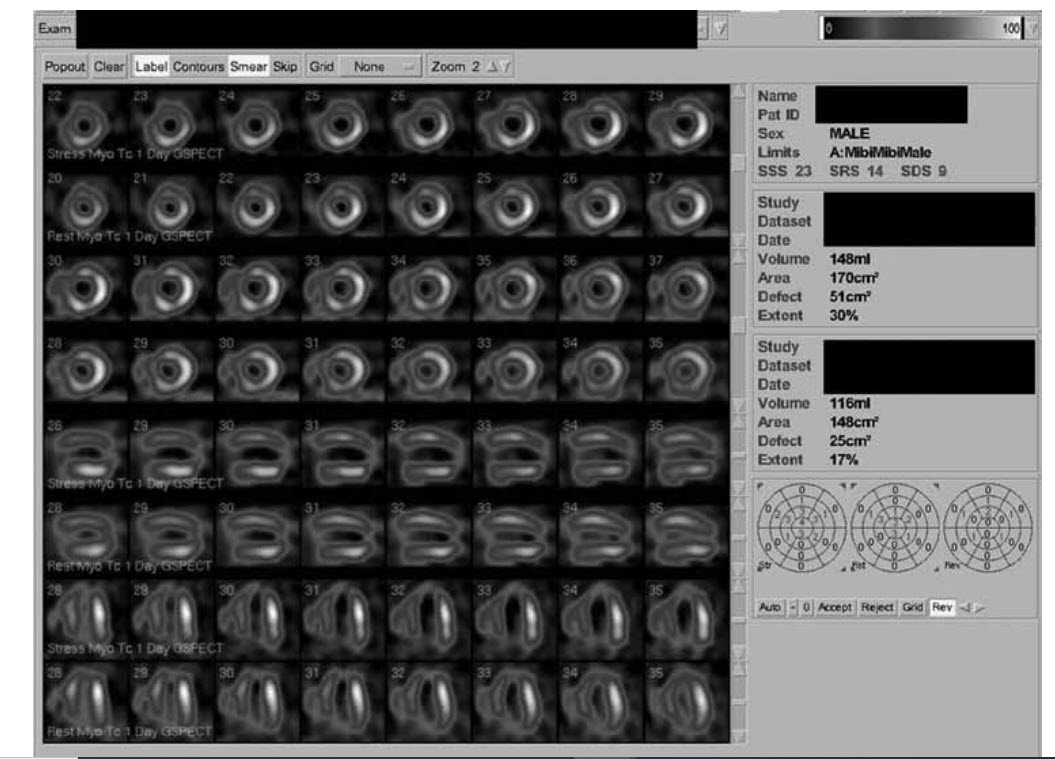
Question 28# Print Question

Which one of the following statements about the study shown in Figure below is incorrect?

A. There is evidence of multi-vessel disease
B. This is a prognostically high-risk scan
C. There is inducible ischaemia in two territories
D. Diaphragmatic attenuation is present
E. Primary prevention ICD may be needed


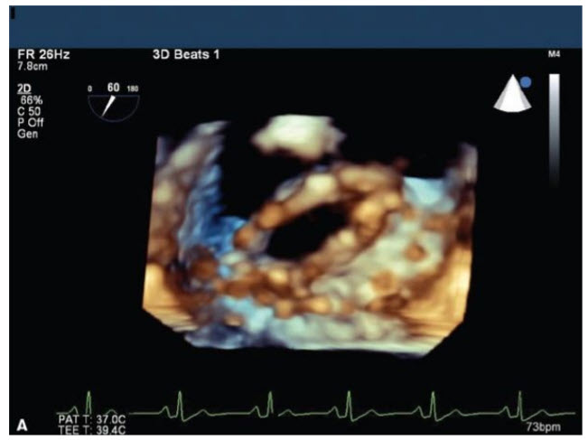
Question 29# Print Question

The three-dimensional (3D) transesophageal echocardiographic (TEE) image in Figure below

demonstrates a patient with:

A. Normally functioning bioprosthetic mitral valve replacement (MVR).
B. Normally functioning bileaflet mechanical MVR
C. Mitral valve (MV) endocarditis with a vegetation
D. Abnormal mechanical MVR
E. Abnormal bioprosthetic MVR


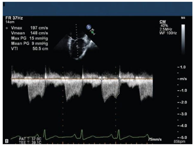
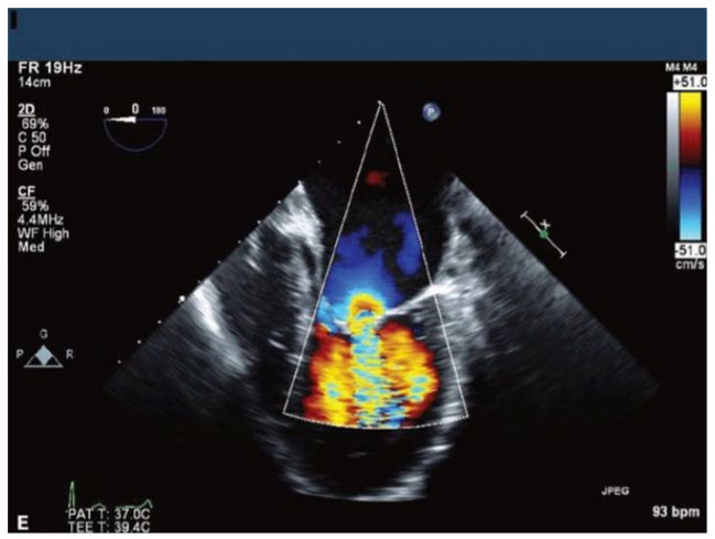
Question 30# Print Question

The images in Figure below A–E come from an 18-year-old young man with marked shortness of breath (SOB).

The most appropriate course of action would be 

A. Closed mitral commissurotomy because he has a split score of 0 to 4 and minimal mitral regurgitation (MR)
B. Percutaneous mitral valvuloplasty (PMV) because he has a split score of 4 to 8 and minimal MR
C. Surgical MVR because he has a split score of 8 to 12 and minimal MR
D. Surgical MVR because he has a split score of 0 to 4 with significant MR
E. Surgical MVR because he has a split score of 4 to 8 and significant MR




Category: Cardiology--->CT, CMR, And Nuclear Imaging
Page: 6 of 10