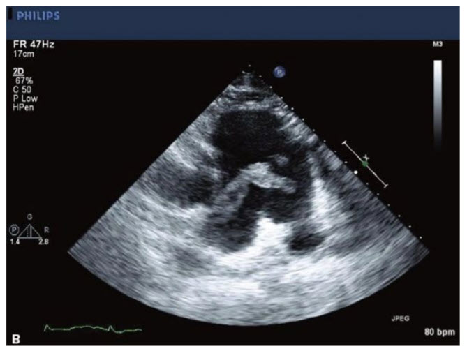
The images in Figure below A–C
belong to a 65-year-old woman with lung cancer and a central venous catheter for chemotherapy. The structure seen on these images is most likely to be:
Right atrial (RA) thrombus or thrombus on central venous catheter. The patient discussed in this question has a malignancy and is likely in a hypercoagulable state. The mass noted within the RA appears to be broad based and may be in association with her central venous catheter. In this situation, this is most likely to be an RA thrombus. The prosthetic appearing structure within the RA appears to be the central venous catheter and does not go through the tricuspid valve (TV) into the RV, and therefore is not an ICD. An RA myxoma typically has a thin stalk and is most often associated with the interatrial septum. It can be seen within the RA or left atrium (LA). Figures below A and B demonstrates a classic myxoma, one showing surgical pathology and the other showing an echo image of a myxoma. A Chiari network is a more fenestrated mobile structure seen at the junction of the vena cava and RA.
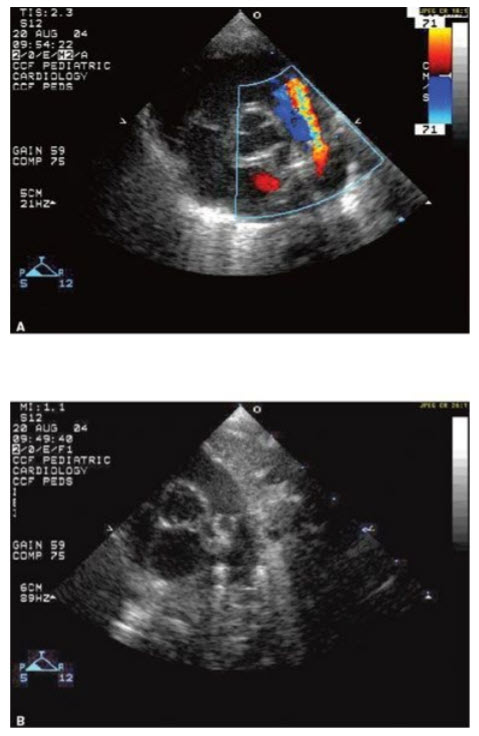
The images in Figure below A and B
are associated with which of the following?
Moderate risk of endocarditis. The images in Figure in question demonstrate a Patent Ductus Arteriosus (PDA). This is seen as the color flow into the pulmonary artery (PA). In this example, the PDA is large and its orifice can be seen in the two-dimensional (2D) images opening into the PA. The complications that can be associated with a PDA include the development of CHF and a moderate risk of endocarditis (although antibiotic prophylaxis is not recommended unless the unrepaired PDA is complicated by pulmonary hypertension/Eisenmenger syndrome causing cyanosis). The clinical manifestations of the PDA depend on the size of the left-to-right shunt. The larger the shunt, the worse the clinical manifestations. The murmur associated with a PDA is a continuous murmur (since the left-sided pressures are higher than the right side throughout the cardiac cycle), not a systolic murmur.
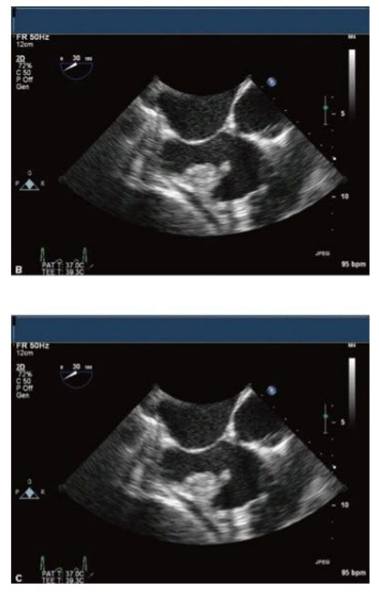
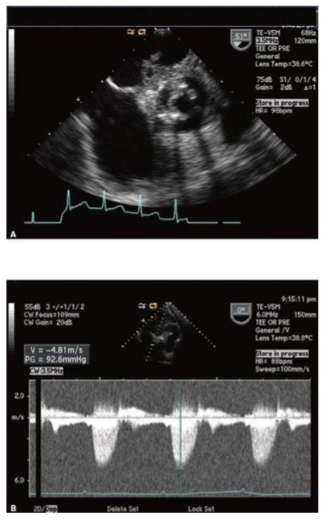
The images in Figures below A–C are from a 43-year-old s/p carpentier edwards aortic valve replacement (CE AVR) with fevers and night sweats.
These images demonstrate all of the following except:
Aortic insufficiency (AI). Although all of the answers are possible complications of infective endocarditis, the images displayed in Figures in question do not show any significant AI. Figure A in question shows the short axis of a bioprosthetic AV with a paravalvular abscess with vegetations. It also shows the valve during systole which although it is open, the opening is restricted suggestive of AS which is confirmed by the peak AV gradient of 92.6 mmHg shown in Figure B in question. Figure C in question shows the long-axis TEE view of the AV with a small fistula into the LA (seen at the top of the image).
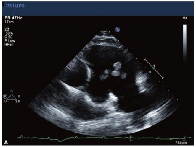
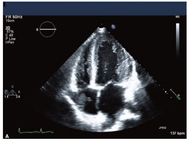
The images in Figures below A and B
are from a transthoracic echocardiogram (TTE) from a patient who is a 57-year-old woman with lung cancer who presents with chest pain (CP) and SOB.
The most likely cause of her CP and SOB based on these images is:
Pulmonary embolus. The images in Figures in question show the parasternal short axis showing specifically the main PA/PA bifurcation. Both images show a large multilobulated echodensity or mass within the main PA which represents a clot in transit. The patient is hypercoagulable due to her malignancy and has developed a deep venous thrombosis which has embolized and is on its way to the lungs. The multilobular appearance shows that this mass is a cast from a deep vein in the leg. The remaining answers are causes of CP; however, these answers do not describe the situation found on TTE. Patients with malignancy can present with tamponade from a pericardial effusion but no effusion is seen on these images.
The patient is a 70-year-old woman with a history of hypertension, but no prior cardiac history, who comes in with sudden onset of CP, which later migrates to her back. She is diagnosed with a computed tomography (CT) of her chest to have a type I aortic dissection. Her blood pressure is 100/70 mmHg and her heart rate is 115 bpm. Images from her TTE are in Figures below A–C.
A. Apical four-chamber view (TTE). B. M-mode through the IVC in the subcostal view (TTE). C. Continuous-wave Doppler through the mitral valve showing mitral valve inflow pattern.
The next step in her care would be
Emergent cardiac surgery. The images demonstrate a patient with cardiac tamponade. Findings include significant respiratory variation of MV inflows (>25%) and RV diastolic collapse, RA inversion, and inferior vena cava plethora (dilated >2 cm and does not collapse normally with inspiration). A patient with a type I dissection and cardiac tamponade needs to go to emergent cardiac surgery as soon as possible for drainage of the pericardium and repair of the aorta. Pericardiocentesis could potentially cause complete rupture of the flap into the pericardium, causing cardiac arrest and death. An aortic stent graft is currently not the treatment of choice for a type I dissection and could certainly not address the problem of tamponade. Coronary angiography in this patient would only delay the definitive therapy (surgery) as well as possibly further propagate the dissection flap. Recall that delay of surgery in a patient with a type I dissection is associated with a 1% per hour increase in mortality in the first 48 hours of the process. (Note that this patient has not had prior cardiac surgery—if the person had prior cardiac surgery, that would likely change the need for cardiac catheterization prior to surgery, although in this patient emergent surgical drainage of the pericardium would be needed.)