The finding in the transthoracic images in Figures below A and B
A. Apical four-chamber view (TTE). B. Apical four-chamber view with color Doppler.
is commonly associated with which of the following lesions?
Cleft MV. The image displays an apical four-chamber view of a patient with a primum ASD. (Note Fig. B in question with color Doppler shows left-toright shunting through the ASD.) This is part of either a partial or complete AV canal defect. A complete AV canal defect includes a primum ASD, a cleft anterior mitral leaflet, and a widened anteroseptal tricuspid commissure. A partial AV canal defect is as above but without the VSD. Note that because of the long-term, significant right-to-left shunt through the ASD in this patient the right side is dilated and there is right ventricular hypertrophy from pulmonary hypertension. The short-axis view of the MV (Fig. A below) demonstrates the cleft anterior mitral leaflet, which “splits” in the center, as opposed to opening like a fish mouth as is seen with normal MVs. Figure B below is a drawing showing normal short axis of MV versus cleft MV.
A. Parasternal short-axis view of the mitral valve (TTE). B. Drawing comparing the parasternal short-axis view of a normal mitral valve to the opening of a cleft anterior mitral leaflet.
A 36-year-old man with a history of hypertension on medications for 5 years presents to your office with complaints of dyspnea on exertion and is found by his internist to have a heart murmur. Below are some representative views from his TTE (Figs. below A–E).
A. Suprasternal notch view in 2D (TTE). B. Suprasternal notch with color Doppler. C. Continuous-wave Doppler in the descending aorta from the suprasternal notch. D. Parasternal long-axis view in systole. E. Parasternal long-axis view with color Doppler.
What is the diagnosis?
Coarctation of the aorta with bicuspid AV with AI. The patient is a young man with hypertension beginning in his late 20s or early 30s. Secondary hypertension must be considered and ruled out in this patient. When he was initially diagnosed he should have had his blood pressure checked in both arms and legs in consideration of a coarctation of the aorta. Note: Someone may also notice rib notching on a chest X-ray. Other etiologies that should have been excluded include renal artery stenosis (more commonly seen in women if caused by fibromuscular dysplasia), pheochromocytoma, Cushing syndrome, or primary aldosteronism. This patient’s heart murmur was a diastolic murmur from AI caused by prolapse of a bicuspid AV. At least 50% of patients with a coarctation have a bicuspid AV. Fewer patients with bicuspid AV have a coarctation. Note that bicuspid AVs dome (doming aortic leaflets are seen in Fig. D in question) and could be mistaken on initial glance in long axis with a rheumatic AV. However, in addition to doming there is prolapse of the conjoined cusp (which would not be seen in a rheumatic valve) and the anatomic situation could be clarified with a good short-axis view.
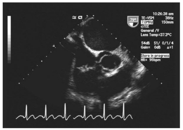
A 37-year-old patient presents with fever, weight loss, and blood cultures that are positive for Pseudomonas and the transthoracic echo finding in Figure below.
The patient’s most likely demographic for this clinical scenario is:
Intravenous (IV) drug abuser. Right-sided endocarditis is less common than left-sided endocarditis. The TEE image (Fig. below) shown demonstrates a patient with a vegetation on the tricuspid valve, and the organism identified by culture is Pseudomonas. This is associated with IV drug use with contamination at the time of injection. Although the other clinical situations listed are at increased risk for endocarditis (typically left sided), Pseudomonas would be a very unusual pathogen in those situations.
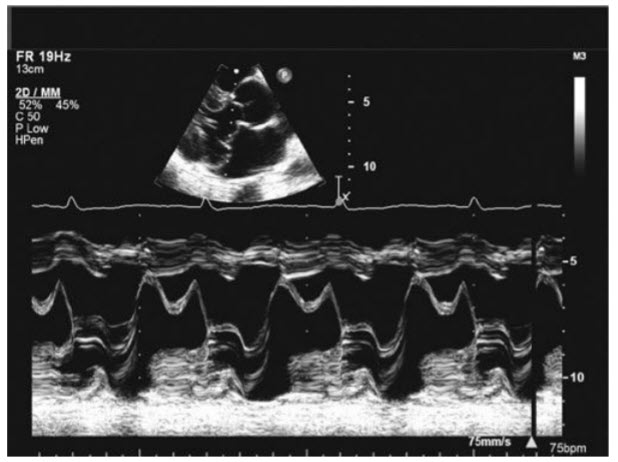
This M-mode tracing (Fig. below)
demonstrates a patient with
Mitral Valve Prolapse (MVP). The M-mode trace is performed through the MV in a patient with myxomatous MV disease with bileaflet prolapse. Note the marked dip backward of the MV leaflets after the closure point (see Fig. in question). Note that there is full systolic range of motion creating the “M” trace of the anterior mitral leaflet and the normal “W” trace of the posterior leaflet. This is in contrast with a normal MV M-mode, which would not have the systolic dip (Fig. below A). Thus, there is no rheumatic MS, which would look like Figure below B in which there are still pliable but tethered leaflets causing a loss of the normal “M” and “W” appearance of the mitral leaflets. More advanced MS with thickened and calcified leaflets would have thicker and brighter appearance of the leaflets together with more restriction of the leaflet motion (Fig. below C). M-mode for a patient with HOCM and SAM would appear like the images in Figure below D and E. Note the SAM of the mitral leaflets in Figure below D and the early closure of the AV in Figure below E (compared with the M-mode of a normal AV [Fig. below F]).
A. M-mode through the mitral valve. B. M-mode through the mitral valve. C. Mmode through the mitral valve. D. M-mode through the mitral valve. E. M-mode through the aortic valve. F. M-mode through the aortic valve.
The following TEE image (Fig. below)
Bicuspid AV with fusion of the RCC and LCC. The 2D TEE midesophageal view (see Fig. in question) demonstrates a bicuspid AV in short axis. To determine cusp anatomy one must view the AV in systole. If one looks for a “Mercedes Benz” image of the valve in short axis during diastole (Fig. below A), one may mistake a bicuspid valve for a tricuspid valve, not realizing that one of the arms in the Mercedes Benz sign is actually a calcified raphe between two fixed cusps. Thus, it is important to look at the valve in systole to determine the true cusp anatomy. The most common form of bicuspid AV is fusion of the RCC and LCC. Bicuspid AVs are also associated with a dilated aorta with an aortopathy involving cystic medial necrosis. Another form of bicuspid AV is fusion of the RCC and NCC (Fig. below B). There are other congenitally abnormal AVs, including unicuspid valves (Fig. below C) and quadricuspid valves (Fig. below D). The unicuspid and quadricuspid valves are much less common than bicuspid valves.
A. Mid-esophageal short-axis view of the aortic valve (diastole). B. Midesophageal short-axis view of a bicuspid aortic valve with fusion of the RCC and NCC. C. Midesophageal short-axis view of a unicuspid aortic valve. D. Mid-esophageal short-axis view of a quadricuspid aortic valve.