Your-Doctor
Multiple Choice Questions (MCQ)



Free Palestine
Quiz Categories Click to expand

Category: Critical Care Medicine-Cardiovascular Disorders--->Imaging (Ultrasound)
Page: 2

Question 6# Print Question

A 54-year-old woman with a history of mechanical mitral valve replacement for endocarditis is brought to the emergency department for dyspnea. She reports 2 weeks of progressive fatigue, exertional dyspnea, and orthopnea. A CT angiogram of the chest shows diffuse ground-glass opacities and interstitial thickening and is negative for pulmonary embolism. A bedside cardiac ultrasound is performed, and the parasternal short axis view is shown in the figure tbelow.

Which of the following assessments will likely lead to the diagnosis in this case?

A. Doppler ultrasound of the lower extremity veins
B. Color Doppler of the main pulmonary artery
C. Measurement of the IVC diameter in a subcostal view
D. Continuous-wave Doppler across the mitral valve in the apical 4- chamber view


Question 7# Print Question

In ultrasound assessment of a pericardial effusion, which of the following findings is most specific for cardiac tamponade?

A. IVC diameter >2 cm
B. RA collapse during >1/3 of the cardiac cycle
C. Inspiratory variation in transtricuspid inflow >30%
D. End-diastolic pericardial effusion width of >1.5 cm


Question 8# Print Question

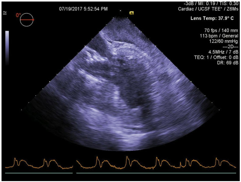
An 85-year-old woman underwent a transapical transcatheter aortic valve replacement (TAVR) for severe symptomatic aortic stenosis. After an uneventful procedure, she is brought to the ICU intubated and sedated. In the 30 minutes after arrival to the ICU she develops progressive tachycardia and hypotension, which prompts the placement of a TEE probe. The mid-esophageal 4-chamber view is shown in the figure below:

Based on the findings in the image, what is the most appropriate next step in management?

A. Left-sided chest tube placement
B. Emergent surgical pericardial evacuation
C. Pericardial drain placement
D. CT angiography of the chest


Question 9# Print Question

A 35-year-old woman with no prior medical history presents to your hospital’s emergency department with a complaint of dyspnea that started acutely 2 hours ago. She appears moderately distressed and has a room air oxygen saturation of 85%, so you are consulted for possible ICU admission. Bedside cardiac ultrasound reveals grossly normal biventricular size and function. Thoracic ultrasound shows lung sliding and A lines in all fields bilaterally. There is no evidence of B lines, consolidated lung, or pleural effusion.

Which of the following ultrasound examinations is most indicated next?

A. Compression and color Doppler of the femoral and popliteal veins
B. Focused assessment of the mitral valve with color Doppler
C. Abdominal ultrasound to assess for the presence of free fluid
D. Tissue Doppler quantification of diaphragmatic contraction velocity to assess for the risk of imminent respiratory failure


Question 10# Print Question

Which of the following thoracic ultrasound patterns will most likely be present in severe ARDS?

A. B lines in all fields
B. Large hypoechoic spaces in bilateral subpleural regions
C. Absence of lung sliding anteriorly, with an area of lung sliding moving in and out of the frame through the respiratory cycle
D. Anterior fields with B lines, posterior fields with ultrasonographically visible lung containing patchy areas of hyperechogenicity




Category: Critical Care Medicine-Cardiovascular Disorders--->Imaging (Ultrasound)
Page: 2 of 2