A 17-year-old female presents with a 3-month history of progressive dyspnoea and fatigue. Her menstrual periods had become erratic. Examination revealed a loud first heart sound and multiple spotty pigmented areas around the face and shoulders. Full blood count, renal function, and thyroid function tests are normal. Her chest radiograph is unremarkable. A transthoracic echocardiogram is performed and shows a 4 × 5 cm smooth heterogenous pedunculated mass arising from the intra-atrial septum.
Which one of the following statements regarding atrial myxoma is true?
Seven per cent of atrial myxomas occur as part of a complex called Carney syndrome. It typically comprises three features: myxoma (may be multiple) of the heart and skin, lentiginosis (hyperpigmentation of the skin), and endocrine overactivity (commonly Cushing’s disease). It has been described under two different acronyms:
The syndrome presents earlier than typical atrial myxoma and shows no female prevalence. The tumour tends to recur following surgery. It is an autosomal dominantly inherited syndrome. A mutation in the putative tumour suppressor gene (PRKAR1A, 17q24) has been found.
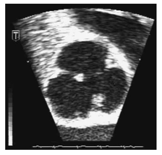
A 77-year-old female is seen 5 days after a right-sided ischaemic cerebrovascular event. There was a history of hypertension but no other significant cardiovascular risk factors. Examination revealed a resolving left hemiparesis and homonemous hemianopia. Cardiovascular examination was unremarkable. There were no peripheral stigmata of endocarditis. CRP was 17 and WCC 10.4. Urinalysis showed 1+ protein. Five days of cardiac monitoring showed sinus rhythm. A transthoracic echocardiogram is shown in Figure below
Which one of the following statements is correct?
Papillary fibroelastomas are rare, representing <10% of all primary cardiac tumours. Ninety per cent occur on the valves, but they have been reported to arise on the intima of the right coronary sinus, the ventricles, and the mitral valve apparatus. The majority (90%) are single, but multiple lesions have been described and are usually <1 cm in diameter. Left-sided fibroelastomas are more commonly reported than right-sided ones. Most patients are over 50 years of age. Clinical examination is typically unremarkable. The potential for fibroelastomas to cause serious complications has been increasingly apparent. Fibroelastomas of the left side of the heart have been associated more frequently with serious symptoms. Cerebrovascular symptoms have been described frequently and many of these patients have had multiple episodes. Some papillary fibroelastomas are congenital. However, most lesions are probably acquired. Some authors regard fibroelastomas as giant Lambl excrescences (Salyer WR), whereas others (McAllister and Fenoglio) regard them as true benign neoplasms. The risk of embolic phenomenon is not well correlated with the size of the structure and for this reason it is generally thought that even small fibroelastomas should be considered for surgical resection.
You are following up a 42-year-old female in outpatients who recently underwent surgical resection for a mass that was discovered during investigation of a large pericardial effusion. The histology report has confirmed the presence of a capillary haemangioma.
Haemangiomas are benign and consist of an increased number of normal or abnormal blood vessels. They account for 5% of benign cardiac tumours and represent around 2% of all cardiac tumours. They are most frequent in young adults, and have an equal distribution between sexes. Many are asymptomatic and are discovered as incidental findings during imaging. If significant intra-cavity projection occurs, haemangiomas are capable of causing obstructive symptoms. Haemangiomas can occur in any of the four cardiac chambers but have a predilection for the ventricles. Haemangiomas within the pericardium may present with pericarditis or pericardial effusions. Others present with constitutional symptoms; fever, weight loss, raised ESR and white cell count.
Histologically, haemangiomas can be broadly classified into three types.
Capillary haemangioma are capsulated whereas the other two types tend to be infiltrative. CT is helpful in evaluating the extent of the tumour and invasion of adjacent structures whereas CMR is superior in histotype differentiation. Treatment involves surgical resection of the lesion. For tumours involving important structures, incomplete resection may be inevitable. Resection allows a histological diagnosis, reduction of tumour mass, and improvement of clinical symptoms. Prognosis is generally very good and in most patients the tumours do not recur.
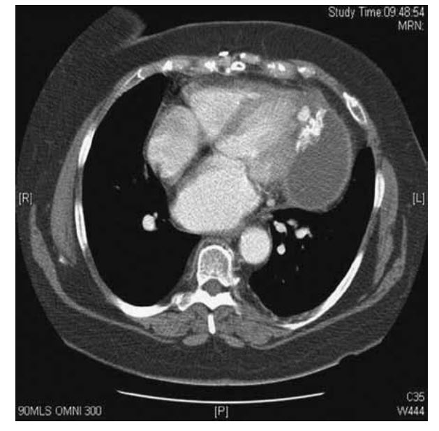
You are asked to see a 67-year-old male who presents with chest pain and a chronic non-productive cough. The symptoms had been present for over 8 months and were not progressing. He denied any haemoptysis. He had no significant past medical history. Cardiovascular and respiratory examination was unremarkable. Routine blood tests were normal. A CT chest is shown in Figure below
Congenital pericardial cysts are relatively frequent. They may be uni- or multilocular of diameter 1–15 cm and are full of serous fluid. Although most patients are asymptomatic, cysts may also present with chest pain, dyspnoea, palpitations, or cough. Although echocardiography is useful, additional imaging by CT or CMR is often needed. The treatment for symptomatic congenital cysts is percutaneous aspiration and ethanol sclerosis. If this is not feasible, video-assisted thoracotomy or surgical resection may be necessary. Guidelines on the diagnosis and management of pericardial diseases: Executive Summary. Eur Heart J, 2004; 25: 587–610.
A 45-year-old male presents with syncope and progressive dyspnoea. He gives a 4-month history of progressive presyncopal episodes. A transthoracic echocardiogram and 24-hour Holter monitoring are performed. The Holter monitor demonstrates daytime periods of complete AV dissociation associated with his symptoms. The echocardiogram shows a 15 mm diameter mass arising from the inferior aspect of the right atrium.
Cystic tumour of the atrioventricular node (also known as tawarioma) is very rare and classified as benign, although it may lead to significant morbidity and mortality due to obstruction, arrhythmias, and embolic phenomena. The mean age of clinical presentation is 40, and there is no sex predilection. Cystic tumours usually consist of multicystic nodules and are located in the region of the AV node, in the triangle of Koch, on the right side of the intra-atrial septum in front of the coronary sinus. Histologically the tumour is derived from endodermal remnants. It infiltrates and compresses the AV node leading to complete heart block (75%), incomplete heart block (15%), or sudden cardiac death (10%). The cysts, which are visible to the naked eye, are filled with a mucoid substance. This is a difficult tumour to identify on non-invasive studies or clinical findings. Treatment requires immediate surgery.