. A 65-year-old man presents with right-sided weakness and expressive aphasia that began suddenly 2 hours ago. He has a history of osteoarthritis, gout, and hypertension. He has no history of recent head trauma or surgery. Medications include lisinopril, allopurinol, and acetaminophen. On physical examination the patient is alert. His blood pressure is 164/90 and his pulse rate is 66. He has a dense right hemiparesis and is not able to speak. Complete blood count, platelet count, prothrombin time, glucose, and ECG are normal. CT of the head without IV contrast is normal.
What is the next best step?
This patient presents with a major middle cerebral artery territory stroke. Patients who present within 3 or 4 hours of onset of symptoms of ischemic stroke are candidates for thrombolysis, which has been shown to improve disability and decrease long-term neurologic deficit. In one study, 50% of patients treated with recombinant tissue-type plasminogen activator (r-TPA) had little or no neurologic deficit 6 months after the stroke, compared to 35% of controls. TPA is contraindicated in hemorrhagic strokes. Thus all patients who are candidates should have CT imaging to exclude a hemorrhagic stroke. CT scanning in acute ischemic stroke is frequently normal (as in this patient) and thus the diagnosis of stroke is made on clinical grounds. TPA use in acute ischemic stroke is associated with a 5% to 6 % risk of intracranial hemorrhage, and thus patients and/or their families should be carefully informed of the relative risks and benefits. Patients with intracranial hemorrhageon imaging, recent head trauma (within the last 90 days), surgery within the last two weeks, uncontrolled hypertension, coagulopathy, or who present with seizures are not candidates for TPA. Aspirin and heparin are to be avoided for 24 hours in patients who are given TPA. Extracranial cerebrovascular disease can be diagnosed with carotid ultrasonography, but carotid artery surgery is done to prevent a subsequent stroke and thus carotid ultrasonography can be done nonurgently. MRI scanning is more sensitive for diagnosing acute stroke, but does not need to be done to confirm a stroke in this patient who has clear cut symptoms and for whom urgent consideration of TPA therapy is the most pressing clinical issue.
Three weeks after an upper respiratory illness, a 25-year-old man develops weakness of his legs, which progresses over several days. On physical examination he has 4/5 strength in his arms but only 2/5 in the legs bilaterally. There is no sensory deficit, but motor reflexes in the legs cannot be elicited. During a 2-day observation period the weakness ascends, and he begins to notice increasing weakness of the hands. He notices mild tingling, but the sensory examination continues to be normal.
The workup of this patient is most likely to show which of the following?
This patient presents with an acute symmetrical polyneuropathy characteristic of Guillain-Barré syndrome. This demyelinating process is often preceded by a viral illness. Characteristically, there is little sensory involvement; about 30% of patients require ventilatory assistance. Loss of deep tendon reflexes, especially in the lower extremities, is an important clue to the lower motor neuron involvement that characterizes GBS. Guillain-Barré syndrome is characterized by an elevated CSF protein with few, if any, white blood cells. EMG usually shows a demyelinating (not an axonal) process with nonuniform slowing and conduction block. A positive edrophonium test is characteristic of myasthenia gravis, but this patient’s loss of tendon reflexes would not occur in MG. Arterial blood gases in Guillain-Barré syndrome might show a respiratory acidosis (not respiratory alkalosis) secondary to hypoventilation. CK levels are normal, as there is no damage to muscle in this disease process. Research laboratories show antiganglioside antibodies in 50% of patients with Guillain-Barré syndrome.
A 32-year-old woman presents to you for evaluation of headache. The headaches began at age 18, were initially unilateral and worse around the time of her menses. Initially the use of triptans two or three times a month would provide complete relief. Over the past several years, however, the headaches have become more frequent and severe. Triptans provide only partial relief; the patient requires a combination of acetaminophen, caffeine, and butalbital to achieve some improvement. Prophylactic medications including beta-blockers, tricyclics, and topiramate have been unsuccessful in preventing the headaches, and she has been to the emergency room three times over the past 2 weeks for a “pain shot.” The general physical examination is unremarkable. Her funduscopic examination shows no evidence of papilledema, and a careful neurological examination is likewise normal.
What is the most likely explanation for her headache syndrome?
Patients who use medications for headache more than twice weekly are at risk of medication overuse headache. Any analgesic, including triptans themselves, can be the culprit. In this setting, the migraine may “transform” into a chronic daily headache. Medication overuse headaches usually start in the morning and improve but do not completely resolve with analgesic therapy. The patient must completely discontinue the offending drug for 2 to 12 weeks for the headaches to resolve. Treating headaches during the period of abstinence can be very difficult. The physician should be vigilant about the development of another cause of headache (mass lesion, inflammatory disorder) in a patient with transformed migraines. CNS imaging and laboratory workup, not generally recommended in the patient with typical migraine, are sometimes indicated. In this patient, however, the most likely diagnosis is still medication overuse headache. Status migrainosus (continuous migraine) and CNS vasculitis are much less common than medication overuse headache. Pseudotumor cerebri (“benign” intracranial hypertension) usually causes papilledema.
A 76-year-old woman presents with numbness and mild weakness in the legs. She has noticed mild numbness in the fingertips bilaterally. The symptoms have been slowly progressive over the past year. She rarely goes to the doctor and takes no medications. Neurological examination shows sensory loss to light touch distal to the knees and wrists in a symmetric pattern. Joint position and vibratory sensation are normal. Ankle reflexes are absent, and she has mild distal weakness.
Which of the following is the most likely abnormality on laboratory testing?
The insidious onset of a distal and progressive sensory loss is characteristic of diabetic neuropathy. In many metabolic neuropathies, the longest nerve fibers are affected first, leading to the stocking-glove pattern of sensory loss. Autonomic changes can accompany the sensory loss. Some diabetics will have vascular changes in the vasa nervorum that can lead to asymmetric peripheral or cranial neuropathies; these are often reversible, while the distal neuropathy is usually progressive. It is not rare for neuropathy to be a presenting symptom of type-2 diabetes, particularly if the patient has not had prior glucose testing. Other conditions associated with peripheral neuropathy include medication side effect, toxins, uremia, neoplasm, vitamin deficiency, and amyloidosis. EMG with nerve conduction velocity testing will categorize neuropathy into axonal and demyelinating varieties and will often provide important diagnostic information. In vitamin B12 deficiency, posterior column function (eg, vibratory sensation) would be affected out of proportion to small pain and temperature fibers. The relaxation phase of muscle stretch reflexes is delayed in hypothyroidism. Multiple sclerosis (which can cause oligoclonal bands) is an upper motor neuron disease that would not cause distal weakness or hyporeflexia. Myasthenia gravis does not affect sensation or reflexes.
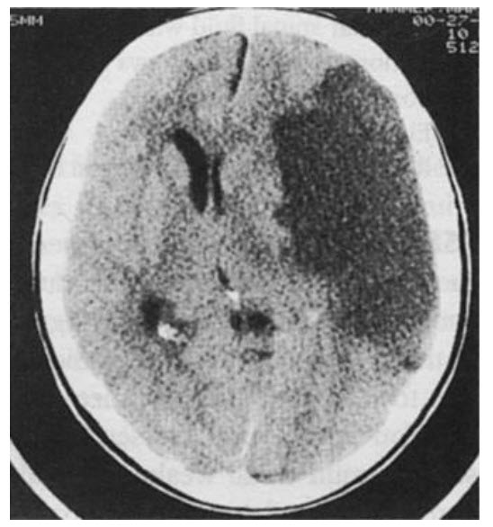
. A 68-year-old man with a history of hypertension and coronary artery disease presents with right-sided weakness, sensory loss, and an expressive aphasia. Neuroimaging studies are shown below. In the emergency department the patient’s blood pressure is persistently 160/95.
Which of the following is the best next step in management of this patient’s blood pressure?
Although hypertension is an important cause of stroke, it should not be aggressively treated in the setting of acute cerebral ischemia. Since cerebral autoregulation is disrupted in acute stroke, a drop in blood pressure can decrease perfusion and worsen the so-called ischemic penumbra. Generally, blood pressure elevation up to 185/110 is not treated. Some stroke specialists recommend more aggressive blood pressure control in acute intracranial hemorrhage, but this patient has an ischemic (not hemorrhagic) stroke. Mannitol is of minimal benefit in cerebral edema associated with acute stroke.