A 45-year-old woman presents to her physician with an 8-month history of gradually increasing limb weakness. She first noticed difficulty climbing stairs, then problems rising from a chair, and, finally, lifting her arms above shoulder level. Aside from some difficulty swallowing, she has no ocular, bulbar, or sphincter problems and no sensory complaints. Family history is negative for neurological disease. Examination reveals significant proximal limb and neck muscle weakness with minimal atrophy, normal sensory findings, and normal deep tendon reflexes.
Which of the following is the most likely diagnosis in this patient?
Polymyositis is an acquired myopathy characterized by subacute symmetrical weakness of proximal limb and trunk muscles that progresses over several weeks or months. When a characteristic skin rash occurs, the disease is known as dermatomyositis. In addition to progressive proximal limb weakness, the patient often experiences dysphagia and neck muscle weakness. Up to half of cases with polymyositis-dermatomyositis have additional features of connective tissue diseases (rheumatoid arthritis, lupus erythematosus, scleroderma, Sjögren syndrome). Laboratory findings include an elevated serum CK level, an EMG showing myopathic potentials with fibrillations, and a muscle biopsy showing necrotic muscle fibers and inflammatory infiltrates. Polymyositis is clinically distinguished from the muscular dystrophies by its less prolonged course and lack of family history. It is distinguished from myasthenia gravis by its lack of ocular muscle involvement, absence of variability in strength over hours or days, lack of response to cholinesterase inhibitor drugs, and the characteristic EMG findings. Cervical myelopathy usually causes hyperreflexia and does not cause dysphagia. Mononeuritis multiplex causes asymmetric signs, usually with sensory loss, and also does not affect swallowing.
A 55-year-old diabetic woman suddenly develops weakness of the left side of her face as well as of her right arm and leg. She also has diplopia on left lateral gaze.
Where is the responsible lesion?
This patient has weakness of the left face and the contralateral (right) arm and leg, commonly called a crossed hemiplegia. Such crossed syndromes are characteristic of brainstem lesions. In this case, the lesion is an infarct localized to the left inferior pons caused by occlusion of a branch of the basilar artery. The infarct has damaged the left sixth and seventh cranial nerves or nuclei in the left pons with resultant diplopia on left lateral gaze and left facial weakness. Also damaged is the left descending corticospinal tract, proximal to its decussation in the medulla; this damage causes weakness in the right arm and leg. This classic presentation is called the Millard-Gubler syndrome. Hemispheric lesions cause motor and sensory loss all on the same side (contralateral to the lesion). A lesion in the median longitudinal fasciculus causes third and sixth cranial nerve dysfunction but not motor deficit of the face or body.
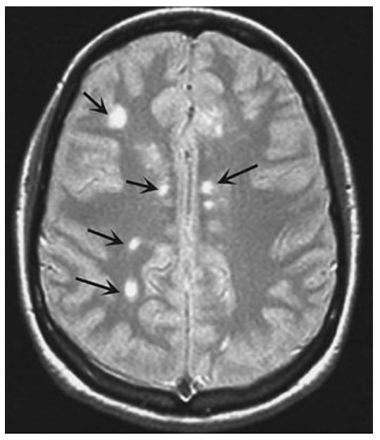
A 26-year-old woman presents for follow-up of her multiple sclerosis. She has had two separate episodes of optic neuritis and has noticed stutteringly progressive weakness in her lower extremities. She has a mild neurogenic bladder. Her symptoms have been stable over the past 4 months. MRI scanning reveals several plaques in the periventricular white matter (MR scan shown here) and several other plaques in the brainstem.
What is the best next step in her management?
Interferon-beta is standard therapy used to prevent progressive disease in relapsing-remitting multiple sclerosis. Both interferon-beta 1b and several forms of interferon-beta 1a are available and are similarly effective. Glatiramer acetate (Copaxone) is also approved for MS. While patients who receive any one of these treatments have 30% fewer exacerbations and fewer new MRI lesions, the treatments do not cure the disease. Interferon-beta can cause side effects, particularly a flulike syndrome that usually resolves within several months. Acute exacerbations of MS are treated with high-dose methylprednisolone followed by tapering oral prednisone. This treatment improves symptoms during a relapse but does not appear to affect the long-term course of the disease. This patient, however, is not having an acute exacerbation of her disease. Steadily progressive MS, especially primary progressive disease, when the disease never remits but worsens inexorably, is a difficult management problem. Immunosuppressives such as cyclophosphamide and mitoxantrone are often tried. Such patients often progress to debility and mortality from urinary infection, aspiration pneumonia, or infected pressure ulcers. Simply providing this patient who has worsening disease with symptomatic treatment would be inappropriate.
A 58-year-old woman has a history of alcohol abuse, coronary artery disease, and atrial fibrillation. Her medications include metoprolol, lisinopril, simvastatin, and warfarin. She develops urinary urgency and frequency and is treated with oxycodone and ciprofloxacin. Three days later she develops a headache, dizziness, vomiting, and has difficulty walking. On neurological examination her strength, sensation (including vibratory sensation), and reflexes are normal. She walks with an uncoordinated, unsteady gait. On testing of coordination in the upper extremities, she displays past-pointing and poor rapid alternating movements with her right upper extremity. In the lower extremities, her heel-shin testing also reveals poor coordination on the right. INR is 6.5 (normal < 1, therapeutic for warfarin 2.0–3.0).
What is the most likely cause of her neurologic findings?
This patient has evidence of cerebellar dysfunction, most likely due to spontaneous cerebellar hemorrhage. Many drugs (including ciprofloxacin) interact with warfarin, excessively prolong anticoagulation, and may result in spontaneous hemorrhage. Cerebellar lesions are typically associated with ataxia and dizziness. This patient’s bleeding can be localized to the right cerebellar parenchyma since a focal lesion in one lobe of the cerebellum (eg, a cerebellar tumor, hemorrhage or infarct) causes dyscoordination on the same side of the body (ipsilateral) as the lesion. Midline cerebellar lesions (most commonly alcoholic cerebellar degeneration) cause midline signs (especially gait ataxia) out of proportion to the findings in the extremities. Infarcts in the basal ganglia would cause extrapyramidal signs with rigidity and uncontrolled movements in addition to dysco-ordination. Posterior column disease would cause sensory abnormalities (especially to proprioception andvibratory sensation) rather than problems with coordination. Acute alcohol ingestion and narcotic overdose can cause dizziness and ataxia, but would not be expected to cause unilateral dysmetria.
A 68-year-old man is seen in the emergency room after an unwitnessed syncopal episode. His wife heard a strange noise and found him confused and on the floor of the living room where he had been watching television. His wife tells you that he has no ongoing medical problems, does not take any medications, and does not use alcohol or illicit drugs. On examination the patient is drowsy, has a tongue laceration, and his pants are wet with urine. Serum electrolytes (including calcium) are normal and urine drug screen is negative.
Which of the following is the best next step in evaluation?
Though syncope is usually due to a cardiovascular cause, the presence of a tongue laceration and urinary incontinence suggest syncope due to a seizure. Furthermore, patients with syncope due to cardiac causes usually recover normal mentation within a few minutes. Prolonged drowsiness is a common postictal phenomenon that can follow a generalized seizure. These findings all point to the likelihood of an unwitnessed seizure in this patient. Juvenile myoclonic epilepsy is the most common cause of generalized seizures in young persons. Usually beginning in childhood or adolescence, juvenile myoclonic epilepsy tends to run in families and is associated with morning myoclonic jerks. Seizures that begin in older adults are more likely due to structural brain disease. The evaluation of a new seizure in an older adult includes an electroencephalogram (EEG) to confirm the diagnosis, but the EEG will be nondiagnostic in about one-half of patients. An MRI is the best test to look for structural brain disease, such as a brain tumor, old stroke, brain abscess, or vascular malformation. Even small lesions can provide the trigger for a seizure, so the more sensitive MRI is preferred to CT scanning in this circumstance. Amphetamines, cocaine, and other illicit drugs may cause seizures, and urine toxicology is appropriate in patients with new-onset seizures. Though often performed, routine blood tests are rarely helpful in the evaluation of seizures. Lumbar puncture is performed only if meningitis or encephalitis is suspected. Holter monitoring is used to detect rhythm disturbances that can be associated with syncope, but cardiac syncope is rarely associated with seizures. Another cause of cardiac syncope is aortic stenosis that could be detected by echocardiography, but syncope associated with aortic stenosis is almost never associated with seizures.