Your-Doctor
Multiple Choice Questions (MCQ)



Free Palestine
Quiz Categories Click to expand

Category: Prometric--->Dermatology
Page: 18

Question 86# Print Question

A 17-year-old female originally from Nigeria presents due to a swelling around her earlobe. She had her ears pierced around three months ago and has noticed the gradual development of an erythematous swelling since. On examination a keloid scar is seen.

What is the most appropriate management?

A. Intralesional diclofenac
B. Advise no treatment is available
C. Intralesional triamcinolone
D. Advise will spontaneously regress within 4-6 months
E. Intralesional sclerotherapy


Question 87# Print Question

A 58-year-old woman presents with a persistent erythematous rash on her cheeks and a 'red nose'. She describes occasional episodes of facial flushing. On examination erythematous skin is noted on the nose and cheeks associated with occasional telangiectasia.

What is the most appropriate management?

A. Topical metronidazole
B. Topical isotretinoin
C. Benzyl peroxide
D. Daktacort
E. Topical hydrocortisone


Question 88# Print Question

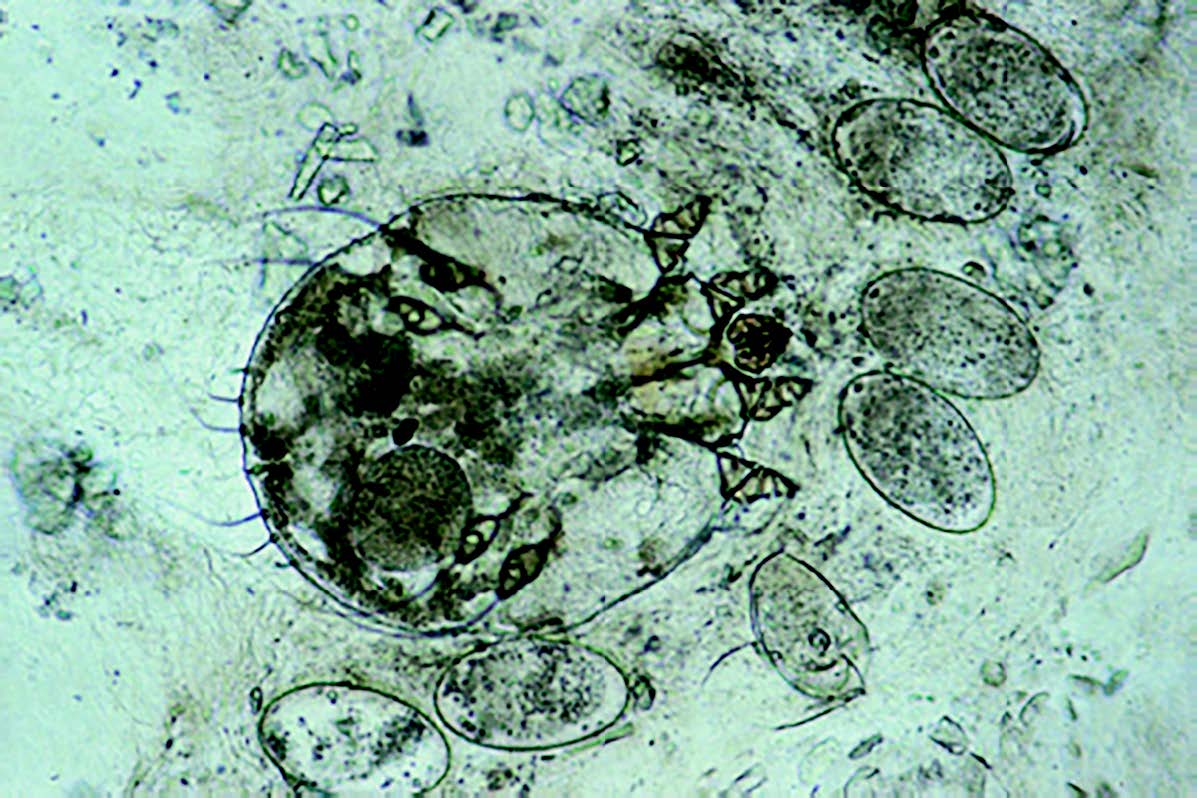
A 78-year-old nursing home resident is reviewed due to the development of an intensely itchy rash. On examination red linear lesions are seen on the wrists and elbows, and red papules are present on the penis.

What is the most appropriate management? 

A. Topical permethrin
B. Referral to GUM clinic
C. Topical betnovate
D. Topical ketoconazole
E. Topical selenium sulphide


Question 89# Print Question

A 63-year-old man who is known to have type 2 diabetes mellitus presents with a number of lesions over his shins. On examination there are a number of 3-4 mm smooth, firm, papules which are hyperpigmented and centrally depressed.

What is the most likely diagnosis?

A. Lupus vulgaris
B. Necrobiosis lipoidica diabeticorum
C. Guttate psoriasis
D. Granuloma annulare
E. Pyoderma gangrenosum


Question 90# Print Question

A 50-year-old chronic alcoholic presents with a persistent skin rash on his hands, arms, neck and face. The rash is red-brown in colour, symmetrical and scaly. He also complains of a poor appetite, nausea and diarrhoea.

Which vitamin deficiency is most likely to have caused his symptoms? 

A. Niacin
B. Folic acid
C. Thiamine
D. Vitamin B6
E. Zinc




Category: Prometric--->Dermatology
Page: 18 of 26