The most common cause of ischemic stroke is:
Ischemic strokes are due to hypoperfusion from arterial occlusion or, less commonly, to decreased flow resulting from proximal arterial stenosis and poor collateral network. Common causes of ischemic strokes are cardiogenic emboli in 35%, carotid artery disease in 30%, lacunar in 10%, miscellaneous in 10%, and idiopathic in 15%. The term cerebrovascular accident is often used interchangeably to refer to an ischemic stroke.
The treatment of acute embolic mesenteric ischemia is:
The primary goal of surgical treatment in embolic mesenteric ischemia is to restore arterial perfusion with removal of the embolus from the vessel. The abdomen is explored through a midline incision, which often reveals variable degrees of intestinal ischemia from the mid-jejunum to the ascending or transverse colon. The transverse colon is lifted superiorly, and the small intestine is reflected toward the right upper quadrant. The superior mesenteric artery (SMA) is approached at the root of the small bowel mesentery, usually as it emerges from beneath the pancreas to cross over the junction of the third and fourth portions of the duodenum. Alternatively, the SMA can be approached by incising the retroperitoneum lateral to the fourth portion of the duodenum, which is rotated medially to expose the SMA. Once the proximal SMA is identified and controlled with vascular clamps, a transverse arteriotomy is made to extract the embolus, using standard balloon embolectomy catheters. In the event the embolus has lodged more distally, exposure of the distal SMA may be obtained in the root of the small bowel mesentery by isolating individual jejunal and ileal branches to allow a more comprehensive thromboembolectomy. Following the restoration of SMA flow, an assessment of intestinal viability must be made, and nonviable bowel must be resected. Several methods have been described to evaluate the viability of the intestine, which include intraoperative intravenous fluorescein injection and inspection with a Wood's lamp, and Doppler assessment of antimesenteric intestinal arterial pulsations. A second-look procedure should be considered in many patients and is performed 24 to 48 hours following embolectomy. The goal of the procedure is reassessment of the extent of bowel viability, which may not be obvious immediately following the initial embolectomy. If nonviable intestine is evident in the secondlook procedure, additional bowel resections should be performed at that time.
The correct classification for the degree of stenosis in the internal carotid artery of a patient with a luminal diameter of 69% is:
Atherosclerotic plaque formation is complex, beginning with intimal injury, platelet deposition, smooth muscle cell proliferation, and fibroplasia, and leading to subsequent luminal narrowing. With increasing degree of stenosis in the internal carotid artery, flow becomes more turbulent, and the risk of atheroembolization escalates. The severity of stenosis is commonly divided into three categories according to the luminal diameter reduction: mild (<50%), moderate (50-69%), and severe (70-99%). Severe carotid stenosis is a strong predictor for stroke.
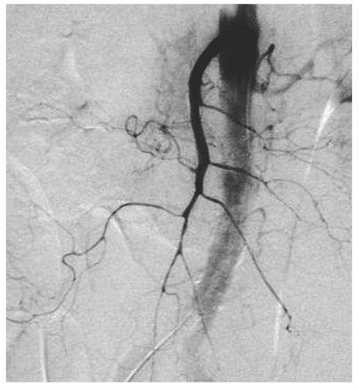
The treatment of nonocclusive mesenteric ischemia is:
The treatment of nonocclusive mesenteric ischemia is primarily pharmacologic with selective mesenteric arterial catheterization followed by infusion of vasodilatory agents, such as tolazoline or papaverine. Once the diagnosis is made on the mesenteric arteriography (Fig. below), intra-arterial papaverine is given at a dose of 30 to 60 mg/h. This must be coupled with the cessation of other vasoconstricting agents.
Mesenteric arteriogram showing non-occlusive mesenteric ischemia as evidenced by diffuse spasm of i ntestinal arcades with poor filling of intramural vessels.
Hollenhorst plaque is found within the:
Patients who suffer cerebrovascular accidents typically present with three categories of symptoms including ocular symptoms, sensory/motor deficit, and/or higher cortical dysfunction. The common ocular symptoms associated with extracranial carotid artery occlusive disease include amaurosis fugax and presence of Hollenhorst plaques. Amaurosis fugax, commonly referred to as transient monocular blindness, is a temporary loss of vision in one eye that patients typically describe as a window shutter coming down or grey shedding of the vision. This partial blindness usually lasts for a few minutes and then resolves. Most of these phenomena (>90%) are due to embolic occlusion of the main artery or the upper or lower divisions. Monocular blindness progressing over a 20-minute period suggests a migrainous etiology. Occasionally, the patient will recall no visual symptoms while the optician notes a yellowish plaque within the retinal vessels, which is also known as Hollenhorst plaque. These plaques are frequently derived from cholesterol embolization from the carotid bifurcation and warrant further investigation.