Fibromuscular dysplasia (FMD) is:
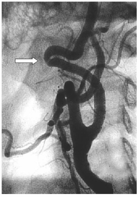
Fibromuscular dysplasia (FMD) usually involves mediumsized arteries that are long and have few branches (Fig. below). Women in the fourth or fifth decade of life are more commonly affected than men. Hormonal effects on the vessel wall are thought to play a role in the pathogenesis of FMD. FMD of the carotid artery is commonly bilateral, and in about 20% of patients, the vertebral artery is also involved. An intracranial saccular aneurysm of the carotid siphon or middle cerebral artery can be identified in up to 50% of the patients with FMD. Four histologic types of FMD have been described in the literature. The most common type is medial fibroplasia, which may present as a focal stenosis or multiple lesions with intervening aneurysmal outpouchings. The disease involves the media with the smooth muscle being replaced by fibrous connective tissue. Commonly, mural dilations and microaneurysms can be seen with this type of FMD. FMD should be suspected when an increased velocity is detected across a stenotic segment without associated atherosclerotic changes on carotid duplex ultrasound. Antiplatelet medication is the generally accepted therapy for asymptomatic lesions. Endovascular treatment is recommended for patients with documented lateralizing symptoms. Surgical correction is rarely indicated.
A carotid fibromuscular dysplasia with typical characteristics of multiple stenoses with intervening aneurysmal outpouching dilatations. The disease involves the media with the smooth muscle being replaced by fibrous connective tissue.
The best initial treatment for a groin pseudoaneurysm after angiography is:
Percutaneous catheter aspiration should be the initial treatment for calf vessel embolization, but, for larger emboli, such as those that lodge in the profunda femoris or common femoral arteries, surgical embolectomy may be required because the embolic material contains atherosclerotic plaque, which is not amenable to transcatheter aspiration or catheter-directed thrombolysis. The incidence of pseudoaneurysm formation at the puncture site is 0.5%. The treatment of choice for pseudoaneurysms larger than 2 em in diameter is percutaneous thrombin injection under ultrasound guidance. Arterial rupture may complicate the procedure in 0.3% of cases. Tamponade of the ruptured artery with an occlusion balloon should be performed, and a covered stent should be placed. In case of failure, surgical treatment is required.
The primary cause of renal artery occlusive lesions is:
Approximately 80% of all renal artery occlusive lesions are caused by atherosclerosis, which typically involves a short segment of the renal artery ostia and represents spillover disease from a severely atheromatous aorta (Fig. below). Atherosclerotic lesions are bilateral in two-thirds of patients. Individuals with this disease commonly present during the sixth decade oflife. Men are affected twice as frequently as women. Atherosclerotic lesions in other territories such as the coronary, mesenteric, cerebrovascular, and peripheral arterial circulation are common. When a unilateral lesion is present, the disease process equally affects the right and left renal arteries. The second most common cause of renal artery stenosis is FMD, which accounts for 20% of cases and is most frequently encountered in young, often multiparous women. FMD of the renal artery represents a heterogeneous group of lesions that can produce histopathologic changes in the intima, media, or adventitia. The most common variety consists of medial fibroplasia, in which thickened fibromuscular ridges alternate with attenuated media producing the classic angiographic "string of beads" appearance. The cause of medial fibroplasia remains unclear. Most common theories involve a modification of arterial smooth muscle cells in response to estrogenic stimuli during the reproductive years, unusual traction forces on affected vessels, and mural ischemia from impairment of vasa vasorum blood flow. Fibromuscular hyperplasia usually affects the distal two thirds of the main renal artery, and the right renal artery is affected more frequently than the left. Other less common causes of renal artery stenosis include renal artery aneurysm (compressing the adjacent normal renal artery), arteriovenous malformations, neurofibromatosis, renal artery dissections, renal artery trauma, Takayasu arteritis, and renal arteriovenous fistula.
Occlusive disease of the renal artery typically involves the renal ostium (arrow), as a spill over plaque extension from aortic atherosclerosis.
Carotid coiling:
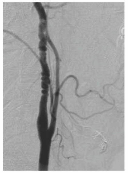
A carotid coil consists of an excessive elongation of the internal carotid artery producing tortuosity of the vessel (Fig. below). Embryologically, the carotid artery is derived from the third aortic arch and dorsal aortic root and is uncoiled as the heart and great vessels descend into the mediastinum. In children, carotid coils appear to be congenital in origin. In contrast, elongation and kinking of the carotid artery in adults are associated with the loss of elasticity and an abrupt angulation of the vessel. Kinking is more common in women than men. Cerebral ischemic symptoms caused by kinks of the carotid artery are similar to those from atherosclerotic carotid lesions but are more likely due to cerebral hypoperfusion than embolic episodes. Classically, sudden head rotation, flexion, or extension can accentuate the kink and provoke ischemic symptoms. Most carotid kinks and coils are found incidentally on carotid duplex scan. However, interpretation of the Doppler frequency shifts and spectral analysis in tortuous carotid arteries can be difficult because of the uncertain angle of insonation. Cerebral angiography, with multiple views taken in neck flexion, extension, and rotation, is useful in the determination of the clinical significance of kinks and coils.
Excessive elongation of the carotid artery can result in carotid kinking (arrow), which can compromise cerebral blood flow and lead to cerebral ischemia.
Complications of endovascular treatment for mesenteric ischemia
Complications are not common and rarely become life threatening. These include access-site thrombosis, hematomas, and infection. Dissection can occur during percutaneous transluminal angioplasty (PTA) and is managed with placement of a stent. Balloon-mounted stents are preferred over the selfexpanding ones because of the higher radial force and the more precise placement. Distal embolization has also been reported, but it never resulted in acute intestinal ischemia, likely due to the rich network of collaterals already developed.