A 47-year-old man presents to the clinic complaining of leg swelling. He has a long history of hypertension and diabetes, with a recent change in his medications, although he cannot remember the names of the new drugs. He has no other complaints, and he denies any shortness of breath or orthopnea. His physical examination, other than bilateral edema of the lower extremities, is completely normal.
Which medication is most likely responsible for the patient’s complaint?
: Amlodipine. Amlodipine is a calcium channel blocker that is often used as an antihypertensive agent. It has a high incidence of peripheral edema as a side effect. (B) Metoprolol is a selective β1 blocker used in hypertension, heart failure, and rate control for atrial fibrillation. It can cause bradycardia and hypotension, but avoids some of the adverse effects of nonselective β-blockers (e.g., bronchospasm). It rarely causes peripheral edema. (C) Hydrochlorothiazide blocks the Na–Cl channel in the distal convoluted tubule, leading to sodium and water excretion. It is used as an antihypertensive agent, and can cause orthostatic hypotension, hypercalcemia, hypokalemia, hyperlipidemia, and hyperglycemia. (D) Metformin is a biguanide drug used in diabetes and acts by decreasing hepatic glucose secretion and increasing insulin sensitivity. It causes GI symptoms, vitamin B12 deficiency, and lactic acidosis in patients with renal failure. (E) Glipizide is a sulfonylurea antidiabetic drug. It blocks potassium channels in islet cells of the pancreas, leading to increased insulin release that can result in hypoglycemia.
A 22-year-old volleyball player comes to your clinic after a syncopal episode during a game. She is in good health and has no other medical problems. Her family is healthy, although she has an uncle that died for unknown reasons at the age of 32. On examination, there is a 2/6 systolic ejection murmur at the left sternal border that becomes louder during a Valsalva maneuver.
Which of the following is the most appropriate next step in management?
Echocardiogram. This patient is a young athlete who experienced syncope during exertion. She has a systolic ejection murmur and a family history of sudden death, raising a suspicion for hypertrophic cardiomyopathy (HCM). HCM is an autosomal dominant disease that causes myocardial hypertrophy involving the septum leading to left ventricular outflow obstruction. Patients can present with dyspnea, chest pain, syncope, or arrhythmias, which may present during physical activity when there is increased cardiac contractility, decreased preload, and decreased afterload, all of which reduce left ventricular volume and worsen the outflow obstruction. Patients may require β-blockers or calcium channel blockers to decrease heart rate and contractility; other options include surgical myectomy or septal ablation. Patients may also require an implantable cardioverter–defibrillator (ICD) to prevent life-threatening arrhythmias. An echocardiogram is the next step in managing this patient to make the diagnosis and assess the degree of outflow obstruction.
(A) This patient has a murmur on examination, indicating a structural heart defect and not necessarily an electrical problem. Though arrhythmias are common in hypertrophic cardiomyopathy, there is no reason to perform an electrophysiology study at this time. (C) A tilt table test can be used to diagnose vasovagal (neurocardiogenic) syncope; however, HCM is the more likely and concerning diagnosis. (D) The patient should refrain from heavy physical exertion and stay adequately hydrated to maintain preload. This is not a benign process and reassurance is not appropriate.
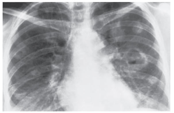
A 29-year-old woman presents to the hospital with a 3-day history of fever, night sweats, cough, and dyspnea. Her cough is productive of yellowish sputum. She denies ever having these symptoms in the past, and has no recent exposures to sick contacts. She has no significant medical history and takes no medications. She smokes 5 to 7 cigarettes daily, drinks alcohol socially, and admits to occasional illicit drug use. On examination, her temperature is 38.6°C, blood pressure is 124/76 mmHg, heart rate is 95 beats per minute, respiratory rate is 24 breaths per minute, and oxygen saturation is 97%. There is a 3/6 holosystolic murmur at the left sternal border that increases in intensity during inspiration. Her liver is enlarged and pulsatile. Some scarring and needle track marks are seen in the antecubital fossa, but there are no other skin findings and her neurologic examination is normal. Her laboratory values and chest x-ray (Figure below) are shown below:
Which of the following is the most likely diagnosis?
Infective endocarditis. This patient presented with a constellation of findings that meet criteria for acute bacterial endocarditis, which is most likely caused by S. aureus in IV drug users like this patient. Diagnosis is based on the modified Duke criteria, in which the definitive diagnosis is made with any of the following criteria: two major, one major and three minor, or five minor. Major criteria include bacteremia (confirmed with blood culture) of an organism known to cause endocarditis and valve involvement (new regurgitant murmur or vegetation on echocardiogram). Minor criteria include predisposing conditions (e.g., IV drug use), fever, vascular phenomena (e.g., pulmonary emboli, Janeway lesions), immune phenomena (e.g., Osler nodes), and positive blood cultures that do not meet major criteria. This patient has one major criterion (tricuspid regurgitation) and three minor criteria (IV drug use, fever, and pulmonary emboli). Her tricuspid regurgitation is indicated by the murmur on examination and the pulsatile liver, which is virtually diagnostic of tricuspid regurgitation. There are no skin findings or renal involvement in this patient since her disease is limited to the tricuspid valve with emboli to the lungs. Cultures should be obtained and then empiric IV antibiotics should be started.
(A, B) Another infectious process may be considered given her symptoms and risk factors; however, the murmur on examination with the chest x-ray showing embolic events is much more concerning for endocarditis. PCP pneumonia will usually show diffuse interstitial infiltrates on chest x-ray. (D) Rheumatic fever is an autoimmune complication of untreated Group A Strep infection, and it typically presents with additional symptoms including arthralgias, skin rash, and chorea. It is diagnosed using Jones criteria. (E) Pulmonary embolism would show a normal x-ray or subtle findings such as pulmonary vascular congestion with wedge-shaped infarcts.
A 72-year-old woman presents to the Emergency Department with chest pain and shortness of breath. She has a blood pressure of 124/73 mmHg, and on cardiac examination she has a blowing holosystolic murmur at the apex that radiates to her axilla. Her ECG shows ST elevations in leads II, III, and aVF.
Which of the following represents the immediate changes taking place? (Note: LVEDV is left ventricular end diastolic volume, EF is ejection fraction, and PCWP is pulmonary capillary wedge pressure.)
Decreased blood pressure, increased LVEDV, increased EF, increased PCWP. This patient is presenting with an inferior myocardial infarction (ST elevation in leads II, III, and aVF). In addition to this diagnosis, she is suffering from acute mitral regurgitation as a consequence of papillary muscle rupture. This is one of the potential complications of myocardial infarctions and should be recognized by the physical examination finding of the classic murmur of mitral regurgitation. She has a normal blood pressure at this time, so she is compensating but is at risk for quickly decompensating.
As an acute response, the left ventricular ejection fraction will increase. Since fluid moves from high-pressure to low-pressure areas, the loss of chamber separation between the left ventricle and atrium by the mitral valve allows blood to be ejected from the left ventricle both into the aorta and into the low-pressure left atrium. In addition to this mechanism, the left ventricle will immediately see an increase in preload due to more blood returning to the ventricle that was ejected backward, and this will increase cardiac output by the Frank–Starling mechanism. Both of these mechanisms contribute to an increased ejection fraction. PCWP (equivalent to left atrial pressure) will increase due to backward flow of blood into the left atrium, and each time the ventricle relaxes during diastole there will be an increased volume of blood returning from the proximal circulation (increased LVEDV).
A 49-year-old man presents to clinic with diarrhea and periodic flushing. He reports that these symptoms have been present for several weeks, but he has been unable to seek medical attention until now. The diarrhea is profuse and watery, and he has had limited success with over-the-counter antidiarrheal medications. He denies any other medical problems, and has had no recent exposure to sick contacts. During the interview, the patient begins to flush in his face and neck. On examination, he has scattered wheezes throughout his lung fields as well as a systolic blowing murmur heard along the left sternal border.
If this disease process continues, the patient would develop deficiency of which of the following vitamins?
Niacin. This is a mechanistic question that is typical of the USMLE Step 1 examination, which tests primarily pathophysiology. Questions like these are rare on the shelf examination but do show up occasionally. The patient in this vignette presents with the classic features of carcinoid syndrome, which is caused by a neuroendocrine tumor that typically arises in the GI tract or bronchi. These tumors can secrete a variety of prostaglandins and amines (especially serotonin), which are responsible for the vasomotor symptoms. If the patient has a GI tumor, serotonin and any other secreted products will be degraded by the liver before entering the systemic circulation. Therefore, symptoms usually develop after the tumor has metastasized to the liver. The most common symptoms are a result of the vasoactive secretory products and include periodic flushing of the face, neck, and chest, diarrhea, and bronchospasm. The diagnosis can be made by measuring elevated levels of 5-hydroxyindoleacetic acid (5-HIAA) in the urine, which is a serotonin metabolite. After the diagnosis is confirmed, the primary tumor should be localized and removed.
This patient also has evidence of carcinoid heart disease, which is caused by fibrous tissue deposition on the valvular surfaces of the right heart. Since the secreted products are degraded in the lungs, they do not typically affect the left heart. Murmurs of tricuspid and pulmonic regurgitation are common in carcinoid heart disease.
Serotonin is produced from the precursor amino acid tryptophan, which is also used to synthesize niacin (vitamin B3). Patients with carcinoid syndrome secrete high levels of serotonin and therefore deplete their stores of tryptophan. This can lead to niacin deficiency, which manifests as pellagra: Diarrhea, Dermatitis, and Dementia (mnemonic: B3 deficiency → 3 D’s). All of the other answer choices do not require tryptophan for synthesis. (B) Thiamine (vitamin B1) deficiency leads to beriberi and Wernicke–Korsakoff syndrome. This can be a result of malnutrition, so give alcoholics thiamine before administering glucose, as this can precipitate Wernicke encephalopathy. (C) Pyridoxine (vitamin B6) deficiency can cause sideroblastic anemia and peripheral neuropathy. This is a common side effect of isoniazid therapy and therefore pyridoxine should be supplemented during treatment. (D) Cobalamin (vitamin B12) deficiency leads to macrocytic anemia and subacute combined degeneration of the spinal cord (loss of proprioception and light touch due to damage of the dorsal columns).