You are asked to review a 32-year-old smoker in the ED. He has presented with an hour of ongoing chest pain. The pain is described as left-sided and sharp but not focal. There is no postural change and no change with inspiration. He appears clinically well. The emergency team are concerned because he has anterior ST elevation and show you his ECG
What do you recommend?
The diagnosis is uncertain in an acute patient. Pericarditis is more likely, but the anterior ECG changes are most prominent. In the context of ongoing chest pain acute, ischaemia must be urgently ruled out. A bedside echo is the best initial test to exclude a regional wall motion abnormality.
Which of the following should not be used as a procedural antiacoagulant for primary angioplasty?
Use of fondaparinux in the context of primary PCI was associated with potential harm in the OASIS-6 trial and therefore it is not recommended. Bivalarudin is probably the preferred choice currently in primary PCI, but all other options are reasonable. Intravenous enoxaparin is required initially in the context of primary angioplasty
You review a patient in the CCU who was admitted earlier with a large anterior myocardial infarction treated with primary angioplasty. He has no bystander disease but the presentation was late. The echocardiogram shows severe LV impairment. There is pulmonary oedema which you have been treating with furosemide boluses and continuous positive airway pressure non-invasive ventilation. Blood pressure is now 85/50 mmHg and urine output in the last hour is 10 mL. Oxygen saturations are maintained at 94% with high-flow oxygen. He remains alert.
What treatment should you consider next?
This patient has moderate heart failure with pulmonary oedema and significant hypotension. The suggestion is that he may be developing cardiogenic shock. There is evidence of poor organ perfusion, reflected by the urine output, but his ventilation remains reasonable. Inotropic support is the next step. In a patient with BP < 90 mmHg dopamine (inotropic/vasopressor) should be considered. In patients with ‘adequate’ blood pressure (>90 mmHg) dobutamine (inotropic) or levosimendan (inotropic/vasodilator) may be preferable. Noradrenaline (vasopressor) may be preferable in cardiogenic shock or septicaemia.
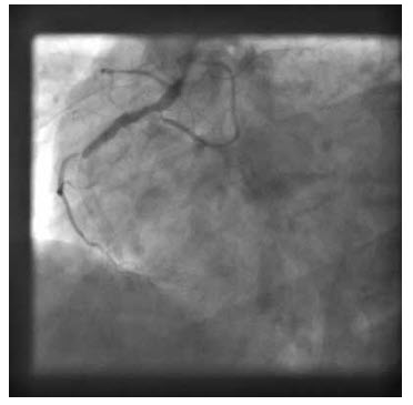
A 45-year-old diabetic man is admitted directly to the catheterization laboratory with chest pain and ST elevation. He had elective angioplasty a week previously for stable angina. He received drug-eluting stents and is taking aspirin and clopidogrel. The relevant angiographic image is shown
What is the diagnosis?
The clinical history suggests acute stent thrombosis. The image shows occlusion of flow at the proximal edge of a stent.
You are completing the discharge summary for a patient who has undergone primary angioplasty with a bare metal stent for an anterior myocardial infarction. The pharmacist questions you regarding the duration of antiplatelets.
What do you advise?
Current guidelines in the UK and Europe are 12 months dual-antiplatelet therapy (DAPT) after an acute coronary syndrome irrespective of the treatment or stent type. In elective angioplasty with a bare metal stent only 1 month of DAPT is required, followed by long-term aspirin as opposed to 12 months for drug-eluting stents (DESs). However, new-generation DESs with biocompatible or biodegradable polymers (the delivery agent for the drug) are showing safety with shorter durations, down to 3 months in some cases.