A 66-year-old man hospitalized for an NSTEMI was successfully treated with DES for a subtotal lesion of the proximal LAD.
What is the recommended minimal duration of dual antiplatelet therapy according to the 2011 American College of Cardiology (ACC)/American Heart Association (AHA) guidelines on PCI?
12 months. The 2011 AHA/ACC PCI guidelines recommend the continuation of aspirin indefinitely (class I) and the duration of P2Y12 inhibitor after stent implantation as follows: (1) BMS or DES during PCI for ACS, at least 12 months; (2) DES for a non-ACS indication, at least 12 months if patients are not at high risk for bleeding; and (3) BMS for a nonACS indication, a minimum of 1 month, and ideally up to 12 months (unless the patient is at increased risk for bleeding).
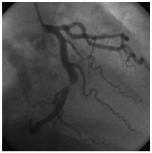
A 54-year-old man known for smoking and hypertension is admitted to the emergency department with an NSTEMI. Echocardiography reveals abnormalities in the acute lateral wall motion. The angiogram (Fig. below)
shows
Severe LCX stenosis. The coronary angiography of the left circulation shows severe mid-left circumflex coronary artery stenosis.
A 75-year-old man has been treated 1 month ago with a DES in the proximal LAD for ACS. At that time he did not mention that he was supposed to require surgery for debilitating knee arthritis.
Which of the following statements is correct?
Discontinuation of dual antiplatelet therapy followed by surgery in the first few weeks following stent implantation is problematic with DES but not BMS. In patients scheduled for noncardiac surgery in the year following PCI, the implantation of DESs should be avoided. Accordingly, one of the most frequent predisposing conditions to DES thrombosis is the (partial or complete) discontinuation of dual antiplatelet therapy because of urgent or elective noncardiac surgery. Although preliminary data suggest that continuation of dual antiplatelet therapy during surgery, if feasible, may be protective of DES thrombosis, no recommendation can be made at this time. Conceptually, the potential for stent thrombosis remains because of the intrinsic prothrombotic state related to surgery. Perioperative thrombosis of BMS implanted shortly prior to noncardiac surgery have been described and associated with prohibitive morbidity and mortality. Therefore, whenever possible, noncardiac surgery should be postponed for at least 6 weeks following implantation of a BMS and 6 to 12 months following DES implantation.
A 66-year-old woman had a second-generation DES implantation after an acute MI. What is the correct statement?
In patients who have already suffered a stent thrombosis dual antiplatelet therapy may be extended long term, although currently there are no data to support this strategy. Currently, there are no data to support an extension of dual antiplatelet therapy beyond 12 months. Nevertheless, in selected patients at high risk for stent thrombosis, aspirin and clopidogrel may be administered for a longer period of time. The CHARISMA trial did show a benefit of prolonged aspirin and clopidogrel therapy over aspirin only in the secondary prevention setting, but did not specifically address the PCI population. According to the 2011 AHA/ACC PCI, continuation of P2Y12 inhibitor after stent implantation for ACS should be at least 12 months.
A 60-year-old man known for current smoking is admitted to the emergency department for prolonged typical chest pain. The 12-lead ECG is shown in Figure below.
What is the most likely finding at the coronary angiography?
Occlusion of the first diagonal branch. The ECG showed inferoposterolateral STEMI. Coronary angiography showed a thrombotic occlusion of mid-portion of the dominant RCA.