Your-Doctor
Multiple Choice Questions (MCQ)



Free Palestine
Quiz Categories Click to expand

Category: Q&A Medicine--->Pulmonology
Page: 5

Question 21# Print Question

A 29-year-old woman with a history of asthma presents with progressive worsening of respiratory function. She reports that her symptoms have developed gradually over the past few months, with occasional fevers and episodes of mild hemoptysis. She denies any weight loss, skin changes, or diarrhea. Her medications include inhaled albuterol as needed and OCPs. She has no family history of cancer, no recent travel, and no recent sick contacts. She works as an accountant and does not smoke or use any illicit drugs. On examination, she has a low-grade fever with scattered wheezes and rhonchi over bilateral lung fields. After coughing vigorously, a brown mucus plug is expectorated. Her laboratory values show eosinophilia with an elevated total serum IgE. A chest x-ray shows interstitial infiltrates in the upper lobes with some areas of atelectasis bilaterally, and a CT scan shows enlarged airways primarily in the upper lobes with bronchial wall thickening.

Which of the following is the most likely diagnosis?

A. Tuberculosis
B. Pseudomonas aeruginosa
C. Strongyloides stercoralis
D. Allergic bronchopulmonary aspergillosis
E. Bronchial carcinoid tumor


Question 22# Print Question

A 52-year-old man is hospitalized for an acute COPD exacerbation and agrees to treatment with 3 days of IV methylprednisolone followed by a taper of oral prednisone over 10 days.

Which of the following is this patient most likely to experience as a potential adverse effect of these medications?

A. Muscle pain and weakness
B. Serious infections
C. Skin atrophy and purpura
D. Psychiatric disturbances
E. Hyperglycemia


Question 23# Print Question

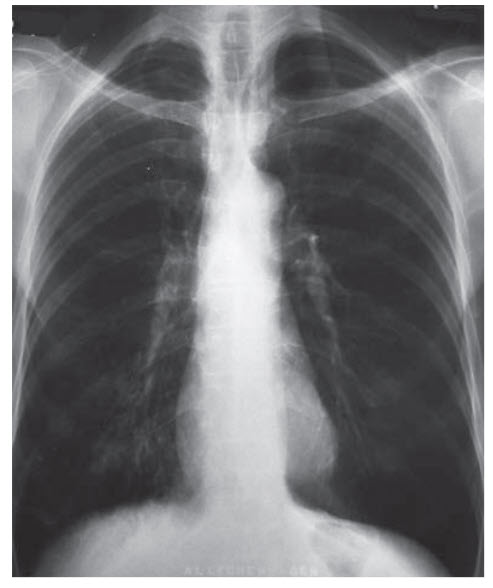
A 59-year-old woman with a history of hypertension and COPD presents to the hospital with shortness of breath. She recently visited her grandchildren and noticed several days later that her chronic cough became worse with an increase in yellow sputum production. She has also had to decrease her activities because of worsening dyspnea with any exertion. Her medications include hydrochlorothiazide, tiotropium, and inhaled albuterol and ipratropium as needed. She has a temperature of 37.6°C, blood pressure of 138/88 mmHg, heart rate of 96 beats per minute, respiratory rate of 28 breaths per minute, and oxygen saturation of 87% on room air. She is anxious and is using respiratory accessory muscles to breathe. There is hyper-resonance to percussion along both lung fields with wheezes and rhonchi heard bilaterally. Cardiac examination, as well as the rest of the physical examination, is unremarkable. The patient is admitted and her chest x-ray is shown in Figure below.

Which of the following is NOT an appropriate first-line treatment for the patient at this time?

 

A. Oxygenation
B. Methylprednisolone
C. Amoxicillin
D. Inhaled corticosteroids


Question 24# Print Question

A 29-year-old man is diagnosed with testicular cancer and undergoes orchiectomy. He is followed afterward, and the cancer recurs. He elects to undergo treatment with bleomycin, etoposide, and cisplatin for four cycles. Several months after finishing chemotherapy, he returns for follow-up. On examination, he has bilateral dry crackles over both lung fields. His laboratory values are significant for a hemoglobin of 9.4 g/dL and a creatinine of 2.4 mg/dL (baseline 1.1 mg/dL).

Which of the following is most likely responsible for the lung findings on examination?

A. Tumor metastases
B. Bleomycin
C. Etoposide
D. Cisplatin


Question 25# Print Question

A 57-year-old woman presents to the hospital with shortness of breath. Her medical history is significant for seasonal allergies and hypertension, with no personal or family history of heart disease. She has smoked 2 packs of cigarettes daily for the past 20 years. During hospitalization, she is treated with oxygen, steroids, and bronchodilators. She is discharged and follows up as an outpatient to get pulmonary function tests, which are shown below. 

  • FEV1 Before albuterol   70% of predicted
  • FEV1 After albuterol   76% of predicted
  • FVC   89% of predicted
  • FEV1/FVC   0.60
  • Total lung capacity (TLC)   110% of predicted
  • DLCO   85% of predicted

Which of the following is the most likely diagnosis?

A. Neuromuscular weakness
B. Asthma
C. Chronic obstructive pulmonary disease
D. Interstitial lung disease




Category: Q&A Medicine--->Pulmonology
Page: 5 of 12