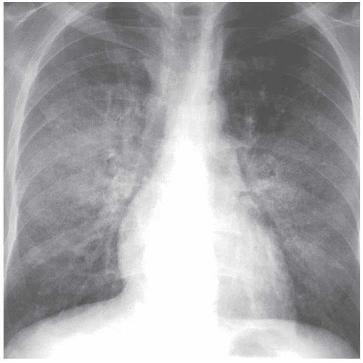
A 48-year-old man presents to the hospital with shortness of breath. He was diagnosed with HIV 2 years ago, refused treatment, and was lost to follow-up. Now he has developed a fever with severe shortness of breath. He has no other known medical problems and takes no medications. He is allergic to sulfa drugs and develops a severe skin rash. His family history is negative for cardiac or pulmonary disease. On examination, his temperature is 38.4°C, blood pressure is 120/80 mmHg, heart rate is 104 beats per minute, respiratory rate is 32 breaths per minute, and oxygen saturation is 84% on room air. An arterial blood gas is significant for a PaO2 of 60 mmHg and a PaCO2 of 28 mmHg. Sputum and blood cultures, as well as other laboratory tests, are pending. The patient’s chest x-ray is shown in Figure below.
What is the most appropriate management of this patient?
: Prednisone and then atovaquone. This patient presents with untreated HIV and likely has a low CD4 count at this time. Patients with CD4 counts below 200 should begin prophylaxis for Pneumocystis jiroveci pneumonia (PCP) with trimethoprim-sulfamethoxazole. Because this patient has a sulfa allergy, alternative treatments include dapsone, pentamidine, or atovaquone. This patient was not taking any prophylaxis and has likely developed PCP, which is indicated by the bilateral interstitial infiltrates on chest x-ray. For patients with a PaO2 <70 mmHg or an A-a gradient >35 mmHg, it is beneficial to treat them with prednisone before antibiotics to reduce the severe inflammatory response to the dying pathogens. (B) Since he has a sulfa allergy, he should not be treated with trimethoprim-sulfamethoxazole; an appropriate alternative treatment is prednisone followed by atovaquone.
(A, C) Ampicillin-sulbactam and clarithromycin are empiric antibiotics for inpatient management of CAP, and the combination of vancomycin, levofloxacin, and piperacillin-tazobactam is a broad spectrum antibiotic regimen used for the treatment of CAP requiring ICU level care. (D) Pentamidine is an alternative to trimethoprim-sulfamethoxazole, but steroids should also be given.
A 23-year-old man with a history of cystic fibrosis presents to the Emergency Department in respiratory failure. He is found to be febrile with leukocytosis and infiltrates on chest x-ray. Sputum Gram stain shows gram-negative rods, and culture grows oxidase-positive colonies that produce a sweet smell. Other significant laboratory values include a leukocyte count of 17,300/mm3 and a creatinine of 1.6 mg/dL (baseline 0.9 mg/dL).
Which of the following is the most appropriate antibiotic for this patient?
Cefepime. Pseudomonas is a common respiratory infection in cystic fibrosis patients and is a major cause of mortality. It is a common nosocomial pathogen, seen in many cases of HAP and VAP, and is often MDR. It is also a common infectious agent in any immunocompromised patient, especially in burn and neutropenic patients. For the shelf examination, it is important to know antibiotic coverage for two common MDR pathogens: Pseudomonas and MRSA. Appropriate antibiotics for Pseudomonas are based on culture and sensitivity data, but commonly used agents include certain β-lactams (piperacillin-tazobactam, ticarcillin-clavulanate, cefepime, ceftazidime, and all carbapenems except for ertapenem), fluoroquinolones (levofloxacin, ciprofloxacin), aminoglycosides (gentamicin, amikacin, tobramycin), aztreonam (a monobactam that can be used in patients allergic to penicillin), and colistin. (C) The choice of antibiotic for MRSA depends on the type of infection and whether the infection is community acquired or hospital acquired; common agents for serious infections include vancomycin, daptomycin, clindamycin, linezolid, ceftaroline, telavancin, and tigecycline. Vancomycin is typically given as an answer choice for treating suspected MRSA.
(A) Aminoglycosides are not the best agent for this patient for two reasons: First, aminoglycosides are not the preferred drugs to treat pneumonia; second, the patient is suffering from acute kidney injury and aminoglycosides have a high rate of nephrotoxicity. (D) Cephalexin has no activity against Pseudomonas.
A 63-year-old woman with a history of poorly controlled diabetes, hypertension, and coronary artery disease presents to her physician complaining of worsening shortness of breath, fevers, back pain, and cough. The symptoms developed slowly over the past month, and she claims to be extremely fatigued due to an inability to sleep at night from fevers and night sweats. She previously worked as a nurse but is now retired. She drinks alcohol moderately and does not smoke. She has had all of her recommended screening procedures, which have been unremarkable. On examination, she is febrile to 38.6°C with a blood pressure of 118/82 mmHg, a heart rate of 92 beats per minute, and a respiratory rate of 24 breaths per minute. Her laboratory values are shown below.
An ECG shows Q waves that are unchanged from her previous ECGs, and a chest x-ray shows diffuse reticulonodular infiltrates in both lungs.
Which of the following is the most likely diagnosis?
Disseminated TB. Although diagnosing TB can be difficult given its large variety of clinical manifestations, there are certain findings that suggest this as the correct diagnosis. Disseminated TB (miliary TB) commonly presents in a subacute/chronic, indolent fashion, although it can present acutely with septic shock and acute respiratory distress syndrome (ARDS). Risk factors for dissemination include immunosuppression, increasing age, diabetes mellitus, and alcoholism, and this patient is older with poorly controlled diabetes and a history of likely exposure to TB (given her occupation as a nurse). The natural course of TB is summarized in Figure below.
Common manifestations of disseminated disease include systemic symptoms (fever, chills, night sweats, weight loss), pulmonary disease (pattern of small “millet seed” opacities in the lungs), bone and joint involvement (e.g., vertebral osteomyelitis in Pott disease), lymphadenitis, liver involvement, peritonitis, and many other manifestations based on the organ affected. Common laboratory findings in miliary TB include anemia, hyponatremia, elevated liver enzymes, and elevated alkaline phosphatase. Other useful diagnostic tests in this patient would be an acid-fast smear and culture of the sputum, purified protein derivative (PPD; though anergy leading to false negatives is common in miliary TB) or interferon-γ release assay, and further imaging (e.g., spinal MRI to assess for Pott disease given her complaint of low back pain). (Note: If the diagnosis is difficult to make, other supportive findings include granulomas on biopsy and an elevated adenosine deaminase in certain body fluids [e.g., ascites, pleural effusion].)
(A) Though the patient has a history of coronary artery disease and is experiencing shortness of breath, the presence of fever suggests an inflammatory process. (C) The patient has constitutional symptoms and anemia that may be seen with colorectal cancer, but the findings on chest x-ray support the diagnosis of miliary TB; metastases to the lungs do not produce a diffuse reticulonodular appearance. The vignette also mentions that her screening procedures (e.g., colonoscopy) have been normal. (D) PCP may produce bilateral interstitial infiltrates on chest x-ray, but the presence of other organ involvement (back pain, transaminitis) suggests an alternative diagnosis.
A 39-year-old woman complains of fever, cough, and shortness of breath. She is from Missouri and lives on a farm with her husband and two children. She has never smoked and does not drink alcohol or use illicit drugs. Her temperature is 38.2°C, blood pressure is 112/70 mmHg, heart rate is 90 beats per minute, and respiratory rate is 26 breaths per minute. There are scattered wheezes and rales on pulmonary auscultation, and there are tender, erythematous nodules on the anterior portion of her legs bilaterally. A chest x-ray shows pulmonary infiltrates and hilar lymphadenopathy. A urine antigen test is performed and returns positive, confirming the diagnosis.
What is the most likely diagnosis?
Histoplasmosis. Pulmonary histoplasmosis is one manifestation of infection due to Histoplasma capsulatum, which primarily affects people in the Ohio and Mississippi River valleys. Pulmonary infection may be subclinical, but can also cause a severe pneumonia with cavitations, pulmonary nodules, and mediastinal and hilar lymphadenopathy. In immunosuppressed patients, the infection can disseminate and cause fever, skin and oral lesions, hepatosplenomegaly, lymphadenopathy, fibrosing mediastinitis, pericarditis, and other findings. This patient has features of pulmonary histoplasmosis and erythema nodosum, which is associated with histoplasmosis. A urinary antigen test is one method of diagnosing histoplasmosis, and treatment is with itraconazole.
(A) Histoplasmosis can mimic TB, especially in the chronic form that manifests as fevers, weight loss, night sweats, and apical infiltrates on chest x-ray. There are no risk factors for TB mentioned in the vignette, and the patient is from an area endemic for histoplasmosis. (B) While this diagnosis may be considered given that she lives on a farm (“farmer’s lung”), it is not diagnosed with a urine antigen test. (C) Sarcoidosis also commonly involves the lungs and causes hilar lymphadenopathy, but is not diagnosed with a urinary antigen test. Misdiagnosing this patient with sarcoidosis would have disastrous consequences, since the treatment of sarcoidosis is immunosuppression that could cause dissemination of the infection. (E) Coccidioidomycosis also causes pulmonary disease, but affects people in the Southwestern United States. An overview of the important fungal infections and the organs to which they disseminate is shown in Figure below.
A 32-year-old woman presents to her physician because of vaginal discharge. She is sexually active and uses barrier protection inconsistently. After some tests, she is diagnosed with Chlamydia trachomatis cervicitis. A pregnancy test is also performed, which is negative.
The medication used to treat this patient works by which of the following mechanisms?
Protein synthesis inhibition by blocking the 30S ribosomal subunit. A first-line treatment choice for Chlamydia infection is doxycycline, a tetracycline antibiotic that blocks translation by binding the bacterial 30S ribosomal subunit. Another correct answer choice would be protein synthesis inhibition by blocking the 50S ribosomal subunit, since azithromycin (a macrolide antibiotic) is also an appropriate agent for treating Chlamydia infections. The remaining answer choices reflect the mechanism of (A) β-lactam antibiotics; (B) sulfonamides; (C) fluoroquinolones; and (E) aminoglycosides.