Your-Doctor
Multiple Choice Questions (MCQ)



Free Palestine
Quiz Categories Click to expand

Category: Q&A Medicine--->Infectious Diseases
Page: 9

Question 41# Print Question

A 63-year-old man presents to the physician complaining of fever and cough. One week ago, he developed fever, a nonproductive cough, and myalgias. He started to feel better after 3 days, but then the fever came back and his cough became productive of dark yellow sputum. He is now short of breath with any activity. His past medical history is negative for pulmonary disease, and he has never smoked tobacco. He has a fever of 39°C and is tachypneic. A chest x-ray shows pulmonary infiltrates.

Which of the following is likely to be seen on Gram stain of the expectorated sputum?

A. Gram-positive cocci in clusters
B. Gram-positive bacilli
C. Gram-positive cocci in chains
D. Gram-negative cocci
E. Gram-negative bacilli


Question 42# Print Question

A 62-year-old man presents with fever, headache, and nuchal rigidity. His mental status is intact, and he has not experienced any seizures. He is admitted to the hospital with a presumptive diagnosis of meningitis, and a lumbar puncture is performed and shows slightly cloudy CSF without significant blood or xanthochromia. Screening blood laboratory values and CSF studies are pending.

What antibiotics should be started at this time?

A. Ceftriaxone and vancomycin
B. Acyclovir
C. Ceftriaxone, vancomycin, and ampicillin
D. Ceftriaxone, vancomycin, and dexamethasone
E. Ceftazidime, vancomycin, ampicillin, and acyclovir


Question 43# Print Question

A 36-year-old woman presents to her physician worried that she is pregnant. She is married and has been sexually active with her husband, and they normally use condoms for contraception. However, his condom broke during intercourse and she is now worried that she will become pregnant. She has urine studies performed, which show a negative pregnancy test and growth of E. coli from a clean-catch specimen. Two weeks later, she follows up for repeat testing, which give the same results. She denies any fevers, chills, flank pain, dysuria, hematuria, urgency, or frequency.

What should be done next in the management of this patient? 

A. IV ceftriaxone
B. Oral ciprofloxacin
C. Measure serum human chorionic gonadotropin levels (β-hCG)
D. Reassurance


Question 44# Print Question

A 31-year-old woman presents to an obstetrician for prenatal care. She is 12 weeks pregnant based on her last menstrual period, and has been taking her prenatal vitamins during this time. She has been pregnant twice before, and both pregnancies resulted in miscarriages. Her medical history is significant for hypertension and a previous deep venous thrombosis. She takes no other medications and is allergic to penicillin and cephalexin. As part of a routine workup, she is tested for syphilis and HIV. Serologic testing for HIV is negative, and her rapid plasma reagin (RPR) is reactive.

What is the most appropriate next step in management?

A. Testing for fluorescent treponemal antibody absorption (FTAABS) reactivity and screening for autoantibodies
B. Administer penicillin now
C. Administer doxycycline now
D. Undergo penicillin-desensitization, followed by treatment with penicillin immediately
E. Undergo penicillin-desensitization, followed by treatment with penicillin at delivery


Question 45# Print Question

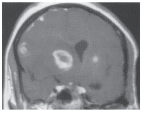
A 45-year-old woman with a history of HIV presents to the hospital with worsening confusion, headache, and fever. She has not been to her physician for follow-up in years, and has not been compliant with her medications. She has been hospitalized twice in the past year for pneumonia. Her last CD4 count measured 6 months ago was 140/mm3 . She is admitted and found to be febrile to 38.6°C. She appears lethargic and vomits several times. Her CD4 count is measured again during this hospitalization and is found to be 76/mm3 . An MRI is performed, and the postcontrast T1-weighted image is shown below.

Which of the following could have prevented this from happening?

A. Azithromycin prophylaxis
B. Yearly cancer surveillance
C. Trimethoprim-sulfamethoxazole prophylaxis
D. Isoniazid and pyridoxine for 9 months
E. There is no available treatment




Category: Q&A Medicine--->Infectious Diseases
Page: 9 of 11